Skill Tests
Skill Tests » UKMLA Test » UKMLA Practice Papers » Practice Test 4
UKMLA Practice Tests
Applied Knowledge Test 4
1 / 50
A 48-year-old man has visible haematuria and right loin pain. His temperature is 37.3°C, pulse rate 72 bpm and BP 170/97 mmHg. Masses are palpable in both flanks. Investigations: Creatinine 220 μmol/L (60-120) Urinalysis: blood 4+
Which is the most appropriate next investigation?
The most appropriate next investigation is an ultrasound of the renal tract. The patient likely has undiagnosed polycystic kidney disease with bilateral renal masses, reduced renal function and haematuria. A renal ultrasound will rapidly confirm the presence of cysts. MR scan may be done later to assess renal sizes ahead of possible therapy with vasopressin antagonists. Cystoscopy is not required at this stage, and urine cytology would not be of benefit. CT kidney, ureter, and bladder would be used in suspected malignancy and urolithiasis.
2 / 50
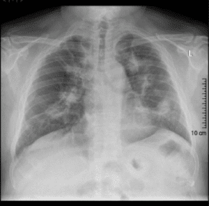
A 42-year-old woman has two episodes of haemoptysis. She also reports two months of sinusitis with pain, stuffiness and nose bleeds. She has some loosening of her teeth and painful oral ulceration. Previously, she noticed a rash and nodules over her elbows, but they have disappeared. Investigations: Chest X-ray: see image Urinalysis: occasional red cell casts
Which is the most likely diagnosis?
Granulomatosis with polyangiitis (GPA) is the most likely diagnosis based on the history of sinusitis, oral ulceration, and haemoptysis and the bilateral pulmonary nodules on chest X-ray. GPA is a rare autoimmune disease that affects small blood vessels in the body, causing inflammation and tissue damage. The presence of red cell casts in the urinalysis suggests renal involvement, which is also common in GPA. The other conditions listed are less likely to explain the patient's symptoms and findings.
3 / 50
A 62-year-old man has 2 months of increasing shortness of breath and chest pain. He is now unable to lie flat. For the past 2 weeks, he has also had a productive cough which was flecked with blood on two occasions. He had a myocardial infarction 6 months ago, at which point he stopped smoking. His temperature is 37.1°C, BP 126/66 mmHg, respiratory rate 24 breaths per minute, and oxygen saturation 93% breathing air. Investigations: Chest X-ray: moderate right-sided pleural effusion. Pleural aspirate protein content 56 g/L.
Which is the most likely underlying diagnosis?
The most likely underlying diagnosis is lung cancer. The high protein content (56 g/L) in the pleural aspirate indicates an exudative effusion, which is more indicative of malignancies like lung cancer. Heart failure and pulmonary embolism can present with similar symptoms, but they are less likely given the chest X-ray and pleural aspirate. Bacterial pneumonia or tuberculosis is also less likely due to a lack of fever.
4 / 50
A 52-year-old man has 4 weeks of joint pain, fever and weight loss. He is a non-smoker and has no significant medical history. The examination is unremarkable. Investigations: Calcium 3.12 mmol/L (2.2–2.6) Plasma parathyroid hormone <0.5 pmol/L (0.9–5.4) Chest X-ray shows perihilar lymphadenopathy.
The most likely diagnosis is sarcoidosis due to the history, elevated calcium and perihilar lymphadenopathy. The elevated calcium and low parathyroid hormone can occur in sarcoidosis due to increased production of 1,25-dihydroxyvitamin D by activated macrophages in the granulomas. Hodgkin's lymphoma and tuberculosis can also cause lymphadenopathy, weight loss and fever, but hypercalcaemia is less likely. The normal plasma parathyroid hormone level makes primary hyperparathyroidism less likely. Granulomatosis with polyangiitis may present with joint pain and fever but does not usually cause hypercalcaemia.
5 / 50
An 86-year-old woman has had three falls in the past 3 months. On each occasion, she describes feeling lightheaded and dizzy prior to falling. She takes alendronic acid, amlodipine, atorvastatin, metformin, and zolpidem tartrate. Her BP is 132/80 mmHg sitting and 138/84 mmHg standing.
Which medication is most likely to be contributing to her falls?
Alendronic acid is a bisphosphonate and is not directly associated with falls. Atorvastatin is an HMG-CoA Reductase inhibitor that is not directly related to falls. Metformin is a biguanide and is not directly associated with falls. Whilst amlodipine can be associated with postural hypotension and subsequent falls, this is not the case in this patient, who does not have a postural drop in blood pressure on standing. Zolpidem tartrate is the correct answer, as it is a non-benzodiazepine hypnotic and sedative and is associated with postural instability and falls.
6 / 50
A doctor in training sustains a needle-stick injury while inserting a venous cannula into a patient. The patient has a history of intravenous drug use.
Which is the most important first action for the doctor in training?
The most important first action is to manage the local skin puncture wound sustained by the doctor in training, so the best answer is to encourage bleeding from the wound. Standard management of the needlestick puncture wound states, "puncture wounds should be encouraged to bleed freely, but should not be sucked. Small wounds and punctures may also be cleansed with an antiseptic, for example, an alcohol-based hand hygiene solution."
7 / 50
A 27-year-old woman has had abdominal pain for 48 hours. She also reports recurrent mouth ulcers and altered bowel habit for a few weeks. Her temperature is 37.5°C. She has central abdominal tenderness. Investigations: CT colonoscopy shows a normal appendix with distal small bowel thickening. There are enlarged nodes in the small bowel mesentery.
Crohn's ileitis is the most likely diagnosis based on the patient's symptoms, findings on CT colonoscopy, and demographic factors. Crohn's disease is a chronic inflammatory bowel disease that can affect any part of the gastrointestinal tract, but it most commonly involves the terminal ileum. The patient's symptoms of recurrent mouth ulcers and altered bowel habit are consistent with Crohn's disease, and the finding of small bowel thickening with enlarged mesenteric nodes on CT colonoscopy is also suggestive. Intestinal tuberculosis may be considered in the differential diagnosis, but the patient's demographics make this less likely. Meckel's diverticulitis and mesenteric adenitis may also be considered, but the lack of a diverticulum or focal lymphadenopathy makes these less likely. Small bowel lymphoma is another possible diagnosis, but the presence of a normal appendix makes this less likely.
8 / 50
A 40-year-old man was admitted with central crushing chest pain. He has pale cream-coloured nodules on both elbows and the medial aspects of his upper eyelids. ECG on admission showed ST elevation and T wave inversion. He deteriorated and died. A post-mortem examination is performed and shows very severe narrowing of the anterior descending branch of the left coronary artery.
Which is the most likely causative mechanism?
The most likely causative mechanism of the severe narrowing of the anterior descending branch of the left coronary artery is atheroma, given the patient's clinical presentation of central crushing chest pain, ST elevation and T wave inversion on ECG, and subsequent deterioration and death and the post mortem findings. The presence of pale cream-coloured nodules on both elbows and medial aspects of the upper eyelids suggests the possibility of xanthomas, which are associated with hyperlipidemia and can be seen in patients with atheromatous plaques. However, thrombosis on the atheroma is likely to cause the acute presentation and fatal outcome. Arterial dissection, malignant deposits, and vasculitis are less likely causes in this clinical scenario.
9 / 50
A 56-year-old man has had a single episode of painless visible haematuria. He has no other urinary symptoms and is otherwise fit and well. He has smoked ten cigarettes per day for the past 35 years. He has a BP of 140/85 mmHg. Urinalysis performed after this episode showed blood 2+, no protein, and no nitrites. Investigations: Urea 6.5 mmol/L (2.5–7.8) Creatinine 95 μmol/L (60–120) Urine culture: no growth
Which investigation is most likely to confirm the diagnosis?
A single episode of painless visible haematuria in a smoker is concerning for bladder cancer. Cystoscopy will enable visualisation and biopsy of any lesion in the bladder wall.
10 / 50
A 32-year-old woman has 3 weeks of fever, rigors, and lethargy. In the past week, she has also become breathless on exertion. She is an intravenous drug user. Her temperature is 38°C, pulse rate 100 bpm regular, and BP 100/60 mmHg. Her JVP is raised with predominant V waves. There is a pansystolic murmur at the left sternal edge on inspiration. She has reduced air entry with dullness to percussion at the right lung base. She has swelling of both ankles.
Which is the most likely pathogen?
The patient's presentation with fever, rigors, lethargy, and breathlessness suggests sepsis. The pansystolic murmur at the left sternal edge heard on inspiration suggests tricuspid regurgitation, and thus, the most likely diagnosis is tricuspid valve endocarditis. Tricuspid regurgitation is a common complication of right-sided infective endocarditis in intravenous drug users. Staphylococcus aureus is a common pathogen in intravenous drug users and can cause endocarditis, pneumonia, and sepsis. The other organisms listed can all cause endocarditis but are less commonly associated with intravenous drug use-related infections.
11 / 50
A 79-year-old woman has been repeatedly found wandering at night by her neighbours. This has progressively worsened over 6 months. She is independent in her activities of daily living, although her family does her shopping. She was previously well.
What aspect of cognition is likely to show the greatest impairment?
The scenario describes a patient with symptoms of dementia, and impairment of short-term memory is a characteristic feature of dementia. The patient's wandering behaviour may be due to disorientation caused by forgetfulness or confusion. Attention, concentration, and praxis may also be affected in dementia. Still, short-term memory is often the most severely impaired.
12 / 50
A 50-year-old man has had increasing breathlessness when climbing the stairs. He has no chest pain, wheeze or cough. He has COPD. He takes a salbutamol inhaler several times per day. He is an ex-smoker of 3 months and has a 30-pack-year smoking history. His weight is stable, and he is otherwise well. Investigation: FEV1: 75% predicted
Which is the most appropriate next step in pharmacological management?
The most appropriate next step in pharmacological management would be inhaled tiotropium and salmeterol. This combination therapy is recommended for patients with COPD who have persistent symptoms despite bronchodilator therapy (such as salbutamol) and who have an FEV1 of less than 80% predicted. Tiotropium is a long-acting anticholinergic bronchodilator, while salmeterol is a long-acting beta-agonist bronchodilator. Together, they work to improve lung function and reduce breathlessness in patients with COPD. Inhaled beclometasone is a corticosteroid inhaler and oral prednisolone is a systemic corticosteroid used for acute exacerbations of COPD rather than chronic management. Nebulised salbutamol and ipratropium bromide is a combination bronchodilator therapy used for acute exacerbations of COPD. Oral theophylline is a bronchodilator that is not typically recommended as a first-line therapy for COPD management.
13 / 50
A 28-year-old man has a headache, intermittent fever, sore throat, and diarrhoea. His temperature is 37.7°C. His fauces are red, and there are two small aphthous ulcers on his left buccal mucosa. He also has a maculopapular erythematous rash on his upper trunk, red hands, and folliculitis on his chest. His liver and spleen are just palpable, and he has mild neck stiffness. Investigations: Haemoglobin 135 g/L (130–175) White cell count 3.3 x 109/L (3.0–10.0) Platelets 84 x 109/L (150–400)
Which investigation is most likely to lead to a diagnosis?
The presentation suggests an infection, which is affecting a number of different body regions and systems. The most specific information is the presence of a rash with folliculitis on the chest, which is a prominent feature in late-stage HIV infection. Additionally, HIV can explain all of the symptoms; hence, the correct answer is HIV serology.
14 / 50
An 81-year-old man has three months of malaise, bleeding gums, and pain in his legs. He has been struggling to look after himself since his wife died one year ago. He has a poor diet and reports that he mostly has tea and toast. He has gingival hypertrophy and skin petechiae.
Which micronutrient deficiency is he most likely to have?
This is typical of vitamin C deficiency, which presents with a petechial rash and gum changes. It is still seen in the UK in people with poor diets.
15 / 50
A 72-year-old man has had six months of increased frequency of defaecation and three months of dark red rectal bleeding mixed with the stool. Investigations: Haemoglobin 101 g/L (130–175) Mean cell haemoglobin (MCH) 24 pg (27–33) MCV 73 fL (80–96) White cell count 9.1 x 109/L (3.0–10.0) Platelets 354 x 109/L (150–400)
Colonic carcinoma is the most likely diagnosis in this patient, with a six-month history of increased frequency of defecation and three months of dark red rectal bleeding mixed with the stool. The low haemoglobin, low MCV, and low MCH suggest that the patient has iron deficiency anaemia, which is commonly associated with colorectal cancer. The other differential diagnoses, such as diverticular disease, hemorrhoids, ischaemic colitis, and ulcerative colitis, may also cause rectal bleeding, but are less likely to present with such a prolonged duration of symptoms and iron deficiency anaemia. A colonoscopy would be required to confirm the diagnosis.
16 / 50
A 24-year-old man is admitted to the hospital with an exacerbation of asthma. His symptoms improve with treatment, and he is ready for discharge after 24 hours. His discharge medication includes a salbutamol inhaler, a combined beclometasone and salmeterol inhaler, and a short course of oral prednisolone.
Which further management must be provided prior to discharge?
A personalised asthma action plan should be provided prior to discharge. It is a written plan that outlines the patient's daily management of asthma and how to adjust treatment in response to worsening symptoms or changes in lung function. It is an essential tool for patients with asthma to ensure that they can manage their condition effectively and prevent future exacerbations. Antibiotic rescue packs and antihistamines are not routinely prescribed for asthma management. Nebuliser machines and Volumatic spacer devices may be prescribed as needed, but a personalised asthma action plan is a more crucial component of long-term asthma management.
17 / 50
A 45-year-old man has had weight loss, fatigue and polyuria for 3 months. He takes a number of multivitamin preparations. Clinical examination is unremarkable. Investigations: Serum-corrected calcium 2.9 mmol/L (2.2–2.6)Phosphate 0.82 mmol/L (0.8–1.5) Serum alkaline phosphatase 154 IU/L (25–115) Parathyroid hormone 7.9 pmol/L (1.6–8.5) Serum electrolytes and urea are normal.
The most likely diagnosis in this case is primary hyperparathyroidism, as it is characterised by increased serum calcium and alkaline phosphatase. The parathyroid hormone is only slightly elevated, which is still consistent with the diagnosis, and should be suppressed in the presence of hypercalcaemia. Excess calcium intake and vitamin D excess can also cause hypercalcaemia but they are less likely in this case as the patient does not report any excessive intake of these substances. Bony metastases and sarcoidosis can also cause hypercalcemia, but they would cause a suppressed PTH.
18 / 50
The daughter of a 78-year-old man is concerned about an area of redness on her father's back. He lives alone and spends most of his day sitting in a chair. There is a reddened area over the sacrum, but his skin is intact. He is considered to be at risk of pressure ulcers.
Which member of the community multidisciplinary team would be most suited to conduct an initial assessment?
The district nurse is the most appropriate member of the community multidisciplinary team to conduct an initial assessment of redness over the sacrum in an elderly man who is at risk of pressure ulcers. The district nurse will advise on care planning and give repositioning advice. Tissue viability nurses offer support to district nurses in the management of complex wounds. Dieticians have an important role in the optimisation of patients at risk of pressure damage but would not carry out the initial assessment of an area at risk of further pressure damage. Occupational therapists’ s provide assessment and treatment to those who are finding it difficult to carry out everyday tasks. Physiotherapists support and optimise movement and function in patients.
19 / 50
A 90-year-old man has had 3 days of spasmodic suprapubic pain radiating to the tip of the penis. His long-term urinary catheter has recently been changed. He is mildly confused.
His temperature is 38.2º C, pulse rate 88 bpm, BP 146/88 mmHg, respiratory rate 15 breaths per minute and oxygen saturation 96% breathing air.
Urinalysis: dark and strong smelling, protein 1+, blood 1+, negative for leucocytes and nitrites.
Which factor(s) indicate(s) the need to start antibiotics?
The patient's fever, mild confusion, and urinary symptoms suggest the presence of a systemic infection, which could be due to a urinary tract infection (UTI) or catheter-related infection, given his recent catheter change. It is, therefore, important to start antibiotics. The presence of blood and protein in the urine are not specific to urinary infection and are very commonly associated with indwelling urinary catheters. Blood and protein in the urine could also suggest other renal or urinary tract pathologies. Again, the dark, strong-smelling urine is not specific for urinary infection. Pain could be a symptom of urinary tract pathology, but it does not necessarily indicate the need for antibiotics unless it is associated with other signs of infection. The indications for antibiotics with a catheter change include neutrophils < 1 x 109/L, multiple attempts or traumatic insertion, post trans-urethral urological surgery, previous episode of catheter change related sepsis, frank pus at the urethral meatus or in critical care patients.
20 / 50
A 28-year-old man has an insurance medical. His pulse is 72 bpm and BP 210/110 mmHg. There is radiofemoral delay. A systolic murmur is audible on auscultation. Chest X-ray reveals notching of the ribs in the mid-clavicular line.
The patient's elevated blood pressure, radiofemoral delay, and chest X-ray findings of notching of the ribs in the midclavicular line are suggestive of aortic coarctation. Coarctation of the aorta is a congenital defect that results in a narrowing of the aorta just beyond the origin of the left subclavian artery. This can lead to hypertension and other cardiovascular complications. The systolic murmur heard on auscultation may arise from flow across the coarctation itself or associated aortic valve disease. Dissecting aortic aneurysm is less likely, as it typically presents with sudden, severe chest or back pain and is a medical emergency requiring immediate intervention. Marfan's syndrome is a genetic disorder that can affect multiple organ systems, including the heart and blood vessels, but typically presents with other clinical features such as joint hypermobility and tall stature. Renal artery stenosis and Takayasu's arteritis may also cause hypertension but are less likely given the patient's other clinical findings.
21 / 50
A 73-year-old man has had increasing breathlessness for over 1 week. He has chronic kidney disease and ischaemic heart disease. He takes alfacalcidol, aspirin, atorvastatin, bisoprolol fumarate, furosemide and irbesartan. There are bibasal inspiratory crepitations and mild peripheral oedema. Investigations: Sodium 134 mmol/L (135–146) Potassium 6.7 mmol/L (3.5–5.3) Urea19 mmol/L (2.5–7.8) Creatinine 259 μmol/L (60–120) eGFR 23 mL/min/1.73 m2 (>60)
Which drug is most likely to be contributing to his hyperkalaemia?
The most likely drug contributing to the patient's hyperkalaemia is irbesartan. Irbesartan is an angiotensin II receptor blocker (ARB) commonly used to treat hypertension, especially in CKD. It leads to reduced aldosterone secretion, which in turn leads to reduced potassium secretion.
22 / 50
A 45-year-old man has had 6 months of tiredness, reduced libido, and erectile dysfunction. Investigations: Testosterone 1.8 nmol/L (9.9–27.8) LH 1.2 U/L (1–8) FSH 1.0 U/L (1–12)
Which is the most likely cause of his presentation?
Based on the low testosterone and low LH and FSH levels, the most likely cause of his presentation is a pituitary adenoma leading to hypogonadotropic hypogonadism. The pituitary adenoma would suppress the production of LH and FSH, which are required for testosterone production in the testes.
23 / 50
An 84-year-old man develops profuse diarrhoea whilst in hospital. An outbreak of Clostridioides (Clostridium) difficile has occurred in his ward.
Which feature of this organism makes it particularly difficult to destroy?
The feature of Clostridioides difficile that makes it particularly difficult to destroy is spore formation. C. difficile spores are resistant to many environmental stresses, including heat, disinfectants, and antibiotics, which makes them particularly difficult to eliminate. These spores can persist on surfaces for months, making them a significant transmission source in healthcare settings.
24 / 50
A 37-year-old man has an increasing fever and shortness of breath. He was admitted 3 days ago with left lower lobe pneumonia due penicillin-sensitive Streptococcus pneumoniae. He is receiving intravenous benzylpenicillin 1.2 g four times daily. His temperature is 38.5°C, pulse 100 bpm and BP 122/80 mmHg. Investigations: Chest X-ray: left basal effusion. Diagnostic pleural aspiration: Purulent fluid. Microscopy shows numerous polymorphs and Gram-positive cocci
Which is the most appropriate next step in management?
This patient has a fever and an empyema at the left lung base. A chest drain needs to be inserted to allow the purulent fluid to be drained away. The patient is already on appropriate antibiotics for Streptococcus pneumoniae but a discussion with the Microbiology team would still be useful.
25 / 50
A 78-year-old woman is found dead at home. At autopsy, the pathologist finds bilateral pneumonia and meningitis. Microscopy of a meningeal swab shows Gram-positive cocci arranged in pairs.
Which is the most likely causative organism?
The most likely causative organism in this case is Streptococcus pneumoniae. Streptococcus pneumoniae is a Gram-positive coccus that can cause pneumonia and meningitis, particularly in the elderly. The presence of bilateral pneumonia and meningitis and the Gram-positive cocci seen on microscopy are consistent with this diagnosis. Of the other possible answers, Neisseria meningitidis, Candida albicans, and Pseudomonas aeruginosa are not Gram-positive cocci. Staph aureus tends to form clusters rather than being arranged in pairs.
26 / 50
A 67-year-old woman has an ulcer with a raised white margin on her left ear. The lesion has been present for 3 years, growing slowly and never completely healing. She spent 20 years living in Australia before returning to the UK recently. She has a small ulcerated area, 4 mm × 6 mm, on her left pinna.
The history of an ulcerated lesion on the ear in an individual likely to have had a high level of ultraviolet light exposure from living in Australia should raise the possibility of keratinocyte cancer. Given the long history yet small size of the lesion, together with the description of a raised, pale border make basal cell carcinoma (BCC) the most likely diagnosis. Other characteristic features would be a shiny or ‘pearly’ surface, a rolled edge, or overlying telangiectasia. Actinic keratoses are pink and scaly or hyperkeratotic and do not ulcerate. There is no pigmentation to suggest melanoma. Whilst amelanotic melanoma is not completely impossible here, BCC is hugely more common and, therefore, a much more likely diagnosis. Seborrhoeic keratosis is a harmless warty lesion, which is usually pigmented and does not ulcerate. Squamous cell carcinoma is the other main type of keratinocyte cancer, but is generally red, not pale. It typically grows at a much faster rate than BCC.
27 / 50
A 48-year-old man attends the GP surgery with headaches. He has noticed that his hands have become larger, his facial features have coarsened, and his vision has deteriorated recently. He has an upper temporal defect in both visual fields.
Damage to which structure is the most likely source of his visual problems?
This 48-year-old man's presentation suggests acromegaly, which is typically caused by a growth hormone-secreting pituitary adenoma. One of the complications of a pituitary tumour is the compression of nearby structures. Given the bitemporal (upper temporal) visual field defect described, this indicates compression of the optic chiasm. When the optic chiasm is compressed, particularly from an inferior approach, as with a pituitary tumour, the crossing fibres (those responsible for the peripheral/temporal vision) are primarily affected, leading to a bitemporal field defect.
28 / 50
A 35-year-old man attends his GP with a severe frontal headache of 12 hours duration. It started suddenly, reaching maximum intensity within 1 minute. He has associated nausea. At the onset of his headache, he noticed a small hole in his vision. This hole started centrally, moved to the edge of his vision, and has now been resolved. The headache is worse in bright light. Paracetamol has not helped his pain.
Which feature should prompt immediate referral to the hospital?
The case description seems to be of migraine with a surprisingly abrupt onset of headache. It is the abrupt onset of headache that is the most worrying feature and suggests a serious underlying cause. Abrupt onset of headache with visual disturbance could be due to subarachnoid haemorrhage (possibly a haemorrhage into the occipital lobe, e.g. from an intracerebral arteriovenous malformation), or haemorrhage into a pituitary macroadenoma with compression of the anterior visual pathway. Other possibilities include reversible cerebral vasoconstriction syndrome, cerebral venous sinus thrombosis, or low-pressure headache, though visual disturbance would not be easily explained).
29 / 50
A 68-year-old woman attends her GP with intermittent palpitations. She has diet-controlled type 2 diabetes. Her pulse rate is 78 bpm, regular. BP 121/77 mmHg. Investigations: Haemoglobin 137 g/L (115–150) eGFR 85 mL/min/1.73m2(> 60)
Which is the most appropriate initial management?
This patient has paroxysmal atrial fibrillation. Her CHA2DS2-VASc score is 3, and her ORBIT Score is 0. Anticoagulant therapy, such as apixaban, is recommended for patients with atrial fibrillation and a moderate to high stroke risks. Aspirin is not recommended for stroke prevention in atrial fibrillation, and digoxin is used primarily for rate control rather than stroke prevention. Left atrial ablation would only be considered if drug treatment is unsuccessful, unsuitable or not tolerated in people with symptomatic paroxysmal or persistent atrial fibrillation.
30 / 50
A 55-year-old man is referred to the vascular outpatient clinic with bilateral claudication, limiting his walking distance to 10 metres. He is a smoker. Imaging shows chronic distal aortic and bilateral common iliac occlusive disease.
Which is the most appropriate surgical intervention?
Chronic distal aortic and bilateral common iliac occlusive disease would make aorto-bifemoral bypass graft the most appropriate surgical intervention. Bypass surgery is offered to people with severe lifestyle-limiting intermittent claudication when angioplasty has been unsuccessful or is unsuitable, and imaging has confirmed that bypass surgery is appropriate for the person. Aorto-bifemoral bypass graft involves bypassing the occluded aortic and iliac vessels with a synthetic graft to restore blood flow to the legs. Other surgical options like aortic endarterectomy or aorto-iliac embolectomy may not be suitable for chronic occlusive disease. At the same time, bilateral iliac angioplasty and femoral-to-femoral crossover graft may not be adequate for restoring blood flow to the entire leg.
31 / 50
A 59-year-old man has a 1 year of erectile dysfunction. He has angina, type 2 diabetes mellitus and peripheral vascular disease. He had a thyroidectomy 2 years ago for thyrotoxicosis. He takes aspirin, diltiazem, levothyroxine, metformin, ramipril and simvastatin. His BP is 140/90 mmHg lying and 135/85 mmHg standing. His foot pulses are not palpable. He has normal sensation in his feet.
Which is most likely to be the main cause of his erectile dysfunction?
Vascular insufficiency is the most likely main cause of erectile dysfunction in this patient. The patient has peripheral vascular disease, and similar vascular disease can occur in the penile blood supply. None of his medications is likely to cause erectile dysfunction and there are no clinical features of testosterone deficiency. Autonomic neuropathy can contribute to erectile dysfunction in patients with diabetes, but the patient does not have any other features of neuropathic disease. Hypothyroidism can also cause erectile dysfunction, but this is less likely in this patient, given that he is on levothyroxine replacement therapy.
32 / 50
A 40-year-old man develops sudden breathlessness 5 days after an acute inferior ST-elevation myocardial infarction treated by primary coronary intervention. His pulse is 110 bpm, BP 110/75 mmHg, respiratory rate 22 breaths per minute and oxygen saturation 92% breathing 28% oxygen via Venturi mask. There is a pansystolic murmur at the apex and bibasal inspiratory crackles.
Which is the most likely cause of this presentation?
Based on the clinical features described, the most likely cause of the presentation is acute heart failure due to papillary muscle rupture as a complication of his recent myocardial infarction. The presence of a pansystolic murmur at the apex suggests mitral regurgitation, which can occur due to the rupture of one of the papillary muscles that anchors the valve leaflets. The bibasal inspiratory crackles suggest pulmonary oedema, which can occur as a result of the increased pressure in the left atrium and pulmonary veins due to the mitral regurgitation. While acute pulmonary embolus, aortic regurgitation, cardiac tamponade, and pericarditis can also cause acute breathlessness, they are less likely in this clinical scenario.
33 / 50
A 52-year-old man has had 3 months of fatigue. He has ulcerative colitis and takes mesalazine. He drinks 20 units of alcohol per week.
His temperature is 36.8°C, and his pulse rate is 80 bpm. He has 3 cm hepatomegaly.
Investigations: Albumin 36 g/L (35–50) ALT 65 IU/L (10–50) ALP 580 IU/L (25–115) Bilirubin 18 μmol/L (<17) γGT 230 IU/L (9–40)
The correct answer is Primary Sclerosing cholangitis. He has had non-specific symptoms for several months. His liver function test shows a cholestatic pattern with a raised ALP. This is an increased incidence of primary sclerosing cholangitis in patients with inflammatory bowel disease. While alcoholic hepatitis is a possibility, an alcohol intake of 20 units per week is not high enough to cause significant damage to an otherwise healthy liver. Cholangiocarcinoma and hepatocellular carcinoma are less likely given the short duration of symptoms and lack of specific risk factors, such as viral hepatitis or cirrhosis. Choledocholithiasis may present with elevated liver function tests but is less likely to cause hepatomegaly or fatigue.
34 / 50
A 55-year-old woman has been feeling tired and sleepy. Her partner says that she snores heavily. She has type 2 diabetes mellitus and takes metformin. Her BMI is 38 kg/m2. Her oxygen saturation is 95% breathing air. Her Epworth sleepiness score is 19 (normal <11). Her HbA1cis 60 mmol/mol (20-42).
Which treatment is most likely to improve her daytime somnolence?
Based on the patient's clinical presentation and history, the most likely cause of the daytime somnolence is obstructive sleep apnoea (OSA), which is characterised by snoring, excessive daytime sleepiness, and obesity. Continuous positive airway pressure (CPAP) ventilation is the gold standard treatment for OSA and involves using a mask to deliver air pressure to keep the airway open during sleep. It is highly effective in reducing daytime sleepiness, improving quality of life, and reducing the risk of cardiovascular complications associated with untreated OSA. While bariatric surgery may be considered in obese patients with OSA, it is not the first-line treatment for daytime somnolence. Long-acting insulin is also not indicated in this patient. Mandibular advancement devices may be considered in patients with mild to moderate OSA who cannot tolerate CPAP, but they are generally less effective than CPAP. Modafinil is a wake-promoting agent that may be used as an adjunctive therapy in patients with residual daytime sleepiness despite optimal CPAP therapy, but it is not a first-line treatment for OSA.
35 / 50
A 79-year-old woman has 6 months of increasing breathlessness on exertion.
Her pulse is 72 bpm, irregularly irregular, and BP 118/72 mmHg. She has a diastolic murmur that is best heard at the apex in expiration.
Which is the most likely cause of her murmur?
Based on the location and timing of the murmur, the most likely cause is Mitral stenosis.
36 / 50
A 48-year-old woman has had 3 years of increasing knee pain and reduced physical activity. She has radiologically-confirmed osteoarthritis. She has hypertension and type 2 diabetes. She takes lisinopril, metformin, semaglutide, and simvastatin. Her BMI is 48 kg/meter square and has not changed despite lifestyle advice and a low-calorie diet for the last year. Investigations: Glycated haemoglobin 55 mmol/mol (20-42)
Which is the most appropriate management?
The patient has severe obesity (BMI > 40 kg/m2) and comorbidities, including hypertension and type 2 diabetes, which puts her at high risk for obesity-related complications. Despite lifestyle measures and a low-calorie diet, she has not achieved significant weight loss. Bariatric surgery is an effective treatment option for obesity in patients with BMI > 40 kg/m2, or BMI > 35 kg/m2 with comorbidities such as diabetes and hypertension. The surgery has been shown to improve weight loss, reduce obesity-related comorbidities, including knee pain, and improve quality of life.
37 / 50
A 42-year-old man has a rash on his face, mainly around his chin. The rash started 24 hours ago with a 0.5 cm thin-walled blister that then ruptured, leaving a yellow-crusted lesion that has since enlarged, and now other similar lesions are appearing in the same area. He is a primary school teacher.
The description of the eruption fits best with bullous impetigo, although this usually occurs in children. Staphylococcus aureus is the most common causative organism, although Streptococcus pyogenes can also be responsible for non-bullous impetigo. E. coli is not expected to cause skin infection. Pseudomonas may be found as a coloniser in chronic wounds but does not cause primary cutaneous infection in immunocompetent individuals. Varicella zoster virus causes chicken pox and subsequently shingles, neither of which fit the clinical picture described here.
38 / 50
A 52-year-old woman has increased urinary frequency, urgency, and urge incontinence. She has multiple sclerosis, which affects her walking. A midstream urine sample shows no cells and is sterile on culture. A bladder scan shows a residual volume of 300 mL. Urodynamic assessment shows that she has a neuropathic bladder.
The most appropriate management in this case of a patient with a neuropathic bladder due to multiple sclerosis would be intermittent self-catheterization. Drug interventions are unlikely to be of benefit. Indwelling urethral catheter or suprapubic catheter are to be avoided due to increased infection risk.
39 / 50
A 34-year-old woman has a sudden onset of right arm weakness and inability to speak. She has migraines and generalised joint pains. Four years ago, she had a deep vein thrombosis in her right leg. Her pulse rate is 68 bpm, and her BP is 178/94 mmHg. She has an expressive dysphasia. She has flaccid weakness in her right arm and facial droop on the right lower half of her face. Investigations: Haemoglobin 118 g/L (115–150) White cell count 4.3 × 109/L (3.8–10.0) Neutrophils 2.1 × 109/L (2.0–7.5) Lymphocytes 0.6 × 109/L (1.1–3.3) Platelets 132 × 109/L (150–400) Total cholesterol 4.6 mmol/L (<5.0) CT scan of head left frontoparietal infarct
Which additional investigation is most likely to reveal the underlying cause of her stroke?
The most likely underlying cause of her stroke is a cardioembolic source, possibly related to her history of deep vein thrombosis. Therefore, the most appropriate investigation to reveal the underlying cause of her stroke is an anticardiolipin antibody. Anticardiolipin antibodies are a type of antiphospholipid antibody that can cause thrombosis and are associated with an increased risk of stroke. Patients with a history of deep vein thrombosis, like this patient, are at increased risk for the development of anticardiolipin antibodies. Testing for the presence of anticardiolipin antibodies can help confirm the diagnosis of antiphospholipid syndrome, which is an important cause of thrombotic events, including stroke. While the patient's history of migraine and joint pains raises the possibility of an underlying autoimmune disorder, such as systemic lupus erythematosus, the presence of anticardiolipin antibodies is a more specific and relevant investigation in the context of her recent stroke.
40 / 50
A 19-year-old man has had a sore throat, malaise, and intermittent fever for 2 weeks. His pulse rate is 74 bpm and BP 115/75 mmHg. His throat is red, and his tonsils are swollen. His sclerae are yellow-tinged. There are multiple soft palpable lymph nodes in the neck. There is tenderness in the right upper abdominal quadrant.
Which is the most appropriate diagnostic investigation?
Based on the presented information, the most appropriate diagnostic investigation is an Epstein-Barr virus (EBV) test. The clinical features, including sore throat, malaise, intermittent fever, swollen tonsils, yellow-tinged sclerae, and tender lymph nodes, suggest infectious mononucleosis (glandular fever). This is a relatively common disease in the 15 - 25 year old age group and is caused by EBV. Blood tests for antibodies can confirm acute infection once a person has been ill for at least 7 days.
41 / 50
A 55-year-old man attends the GP surgery concerned that he may be a carrier of cystic fibrosis. The condition has just been diagnosed in his 5-year-old grandson. He has heard that this is an inherited condition, but no one else in his family has the illness.
What is the likelihood that the grandfather is a carrier?
Cystic fibrosis is an autosomal recessive disorder, meaning an individual must inherit two copies of the mutated gene (one from each parent) to develop the disease. If the grandchild is affected, both of his parents must be carriers. The parent of the 5-year-old must have received the recessive gene from one of their parents. There is a 50:50 chance that this was the grandfather and 50:50 that it was the grandmother. This means the likelihood that the grandfather is a carrier is 1 in 2.
42 / 50
A 65-year-old man is invited to the abdominal aortic aneurysm screening programme. An ultrasound scan shows his abdominal aorta to be 33 mm in diameter.
Which is the most appropriate management plan?
Abdominal aortic aneurysm (AAA) is defined as a permanent dilatation of the abdominal aorta with a diameter of 3 cm or more. The risk of AAA rupture increases with increasing diameter. In the UK, screening for AAA is offered to all men aged 65 years and above. The aorta should be measured at three levels: just below the origin of the renal arteries, at the level of the superior mesenteric artery, and just above the bifurcation. Current NICE guidance recommends that if the abdominal aorta measures between 3.0 and 4.4 cm in diameter, then an ultrasound scan should be repeated every year. If the aorta measures between 4.5 and 5.4 cm in diameter, then an ultrasound scan should be repeated every three months. If the aorta measures 5.5 cm or more in diameter, then the patient should be referred for vascular surgery. In this case, as the diameter of the aorta is 33 mm, which is between 3.0 and 4.4 cm, the most appropriate management plan is to repeat the ultrasound scan in 12 months.
43 / 50
A 65-year-old man attends his GP for monitoring of hypertension and ischaemic heart disease. He takes aspirin, atenolol, amlodipine, lisinopril, and simvastatin. He has marked ankle swelling.
Which drug is the most likely cause of his ankle swelling?
Some antihypertensive medications, such as calcium channel blockers like amlodipine, can cause ankle swelling as a side effect. Lisinopril is an angiotensin-converting enzyme (ACE) inhibitor used to treat hypertension and heart failure. It is known to cause cough as a side effect. Statins such as Simvastatin and beta blockers such as Atenolol are not known to cause ankle swelling as a side effect.
44 / 50
A 28-year-old woman has pain on swallowing. She has asthma that is well controlled using metered dose salbutamol and beclometasone dipropionate (800 micrograms/day) inhalers. She has white plaques in her mouth. An anti-fungal oral suspension is prescribed.
What is the most appropriate management with regard to her beclometasone?
This patient has developed oral candidiasis and this is most likely due to local deposition of the inhaled steroid (beclometasone dipropionate). The risk of this happening again can be reduced by using a large-volume spacer, as there will be less local deposition of the drug in her mouth. Changing to a dry powder or a different steroid inhaler is unlikely to help and may worsen things.
45 / 50
A 43-year-old woman is admitted with acute right upper quadrant pain, which radiates to her right shoulder. Her temperature is 38.6°C, and her respiratory rate is 20 breaths per minute. She is tender to palpation in the right upper quadrant but has no rebound tenderness. Investigations: Haemoglobin 132 g/L (115–150) White cell count 13 x 109/L (3.8–10.0) Platelets 340 x 109/L (150–400) Bilirubin 30 μmol/L (<17) Alanine aminotransferase (ALT) 80 IU/L (10–50) Alkaline phosphatase 306 IU/L (25–115)
Which is the next most appropriate radiological test?
The most appropriate radiological test for suspected acute cholecystitis is an ultrasound scan of the abdomen.
46 / 50
An 85-year-old woman was admitted with a stroke three weeks ago. She has urinary incontinence and a long-term urinary catheter in situ. She takes clopidogrel and ramipril. Her temperature is 36.8°C, pulse rate 85 bpm and BP 134/74 mmHg. A catheter specimen of urine shows >105CFU/mL, mixed growth.
Colonisation of urinary catheters with a mixed growth of bacteria is very common, does not usually cause symptoms, and is not an infection that needs treatment with antibiotics in most patients. It would be inappropriate to remove the catheter in this patient with a previous history of incontinence who, in addition, has had a stroke and will be at increased risk of pressure area damage. There are no indications for antibiotics. Indwelling urinary catheters quickly become colonised with microorganisms after insertion. These microorganisms produce proteins and facilitate the formation of biofilms. These biofilms often make it impossible to eradicate the bacteria with antibiotics.
47 / 50
A 24-year-old man is reviewed following a recent orchidectomy. The pathologist's report describes a mass with cystic spaces. Histological examination shows areas of mature cartilage and columnar epithelium.
The most likely diagnosis, in this case, is teratoma, as it is a type of germ cell tumour that often contains different types of tissue, including cartilage and epithelium.
48 / 50
A 21-year-old woman attends her GP with moderately severe acne. She has tried topical retinoids and topical antibiotics without satisfactory response. She previously had a deep vein thrombosis following a long-haul flight.
Which is the most appropriate treatment?
The most appropriate treatment next treatment for moderately severe acne in a patient with a history of deep vein thrombosis is Lymecycline. Co-cyprindiol is a form of the oral contraceptive pill (OCP) with anti-androgenic effects, which is licensed for acne. However, it carries a higher risk of thromboembolic disease than other OCPs and is contraindicated here. Desogestrel (when used alone) is a progesterone-only OCP, which may exacerbate acne. Flucloxacillin has no effect on acne. Oral isotretinoin is the most effective treatment for acne but, on account of its potential adverse effects, is usually reserved for severe or scarring disease or when other treatments including tetracycline antibiotics - have not been sufficiently effective.
49 / 50
A 22-year-old soldier steps off a cramped military aircraft following a long flight from the UK. She suddenly collapses and hits her head on the ground. While unconscious, she has asynchronous jerking of her limbs for less than 15 seconds. Witnesses say that she looked pale. She regains consciousness within 1 minute.
What is the most likely cause of her collapse?
The most likely cause of her collapse is vasovagal syncope. The cramped conditions and fatigue during the flight could have caused her to experience a vasovagal response, resulting in a temporary loss of consciousness. The asynchronous jerking of her limbs may have been due to myoclonus, which can occur during syncope. The pallor may be due to a transient decrease in blood pressure during the episode. Pulmonary embolism is a possibility, but vasovagal syncope is much more likely. Epilepsy is a possibility, but the duration of shaking would be unusually short.
50 / 50
A 34-year-old man has a cough and weight loss. A diagnosis of tuberculosis is confirmed, and treatment is started. As part of his monitoring, he is screened for loss of visual acuity.
Which antituberculosis drug is an indication for visual monitoring?
Ethambutol hydrochloride is an antituberculosis drug that requires monitoring of visual acuity. Ethambutol can cause optic neuritis, impairing colour discrimination, central visual field defects, and blurred vision. Therefore, it is recommended to perform a baseline ophthalmologic examination before starting the treatment and periodic monitoring during the treatment, especially in patients with preexisting visual impairment or renal impairment. The other antituberculosis drugs listed do not require routine ophthalmologic monitoring.
Your score is
The average score is 37%
Restart quiz
How was the test? Please Submit your Rating and give us a feedback!
Thank you for taking the time to complete a mock test on our website. We appreciate your effort and dedication.
We wish you the best of luck in your preparation and future exams. If you have any feedback or suggestions, please let us know.
Your email address will not be published. Required fields are marked *
Δ