Skill Tests
Skill Tests » UKMLA Test » UKMLA Practice Papers » Practice Test 3
UKMLA Practice Tests
Applied Knowledge Test 3
1 / 50
A 74-year-old man has been increasingly unwell with progressive thirst and nausea for 2 weeks. He initially described needing to pass urine more frequently than usual, but now he has not passed urine for 24 hours. He has type 2 diabetes. He is dehydrated. Investigations: Sodium 149 mmol/L (135–146) Potassium 5.2 mmol/L (3.5–5.3) Chloride 101 mmol/L (95–106) Urea 15.4 mmol/L (2.5–7.8) Creatinine 208 μmol/L (60–120) Fasting glucose 41.7 mmol/L (3.0–6.0)
What is the calculated serum osmolality?
Serum osmolality is 2 x(Na) + Urea + glucose The calculation is 298 + 15.4 + 41.6 = 355
2 / 50
A 24-year-old man has poor urine flow and takes a very long time to empty his bladder. He has no other urinary symptoms. He has been well previously, apart from one episode of non-gonococcal urethritis 1 year ago.
Which is the most likely diagnosis?
Based on the symptoms described, the most likely diagnosis for the 24-year-old man is urethral stricture. Urethral stricture is a condition that occurs when the urethra narrows, which can cause difficulty in passing urine and a slow urinary stream. This can lead to a feeling of incomplete emptying of the bladder and a need to strain to empty the bladder completely. Urethral stricture follows previous urethral inflammation due to infection. Other possible causes of these symptoms include prostatic hypertrophy, but this condition is more common in older men, usually over the age of 50. Overactive bladder and neurogenic bladder can also cause urinary symptoms, but they typically present with other symptoms such as urgency, frequency, and incontinence. Phimosis refers to the condition where the foreskin cannot be retracted from the tip of the penis and is unlikely to cause the urinary symptoms described.
3 / 50
A 22-year-old woman has worsening shortness of breath and cough productive of four to five tablespoons of sputum per day. She had childhood pneumonia and recurrent chest infections. She coughed up blood on two occasions many years ago. She has bilateral scattered wheezes and coarse inspiratory crackles.
Bronchiectasis is most likely due to the copious sputum production, and the history of childhood pneumonia and recurrent chest infections. Cystic fibrosis should also be considered as a cause of the bronchiectasis. Bronchiectasis is characterised by permanent dilation and thickening of bronchi resulting in chronic cough with daily sputum production and recurrent respiratory infections. Often there are coarse crackles on examination and there may be wheeze if there is an exacerbation. Haemoptysis can be a feature of bronchiectasis, especially when there is an exacerbation. COPD and lung cancer are very uncommon in this age group. Pulmonary fibrosis generally has fine crackles and copious sputum production is less common. Sarcoidosis can cause fine crackles also, but it is unusual in this age group and it does not usually present with recurrent chest infections and copious sputum production is not usually a feature.
4 / 50
An 85-year-old man is admitted from a nursing home with a spreading cellulitis originating from an ulcer over his right ankle.
He is mildly confused. His temperature is 39.5°C, pulse rate 96 bpm and BP 114/60 mmHg.
Cultures taken from the ulcer and blood have grown MRSA.
Which is the most appropriate initial antibiotic treatment?
Vancomycin would be the most appropriate initial antibiotic treatment in this case of MRSA cellulitis. Vancomycin is a glycopeptide antibiotic active against MRSA and other Gram-positive bacteria. It is the drug of choice for treating serious MRSA infections, such as cellulitis, when the strain is known or suspected to be resistant to beta-lactam antibiotics like flucloxacillin or co-amoxiclav. Piperacillin with tazobactam and meropenem are broad-spectrum antibiotics that may be used as an alternative if the patient has a severe penicillin allergy or if the infection is suspected to be caused by Gram-negative bacteria as well. However, they are not specific for MRSA and should be used judiciously to avoid the development of antibiotic resistance.
5 / 50
A 75-year-old man has had 3 days of intermittent headaches, blurred vision, and vomiting. For the past 24 hours, he has had a severe left-sided headache and eye pain, accompanied by blurred vision and vomiting. His left eye is red and the left pupil is dilated.
Which investigation is most likely to confirm the diagnosis?
Based on the symptoms and signs described, the most likely diagnosis is acute angle-closure glaucoma, which is a medical emergency that requires prompt diagnosis and treatment to prevent vision loss. Therefore, the investigation that is most likely to confirm the diagnosis is the measurement of intraocular pressure. A high intraocular pressure is characteristic of acute angle-closure glaucoma, although other investigations, such as a CT or MR scan of the head, may be performed to rule out other causes of the symptoms.
6 / 50
A 64-year-old woman has thumping palpitations and says that she sometimes feels her heart 'gives a sudden jump.' Her husband recently died due to myocardial infarction. Her pulse is 70 bpm and BP 136/80 mmHg. Her heart sounds are normal. Her 12-lead ECG is shown in the tracing.
Which is the most likely cause of her palpitations?
Premature ventricular beats (aka ventricular ectopic beats) are a common cause of palpitations and may present with thumping palpitations or a sensation of a sudden jump in the heart. Premature supraventricular beats can also present in this way, but the ECG shows three broad-complex ectopic beats suggesting a ventricular origin. Premature ventricular beats are caused by early depolarisation of the ventricular tissue, leading to an early contraction. The symptoms are usually brief and self-limited, and the patient may not require any specific treatment. However, it is important to exclude underlying cardiac disease. Atrial fibrillation and ventricular tachycardia can also cause palpitations but are less likely in this scenario based on the patient’s history, normal physical examination findings and abnormal ECG. Sinus arrhythmia is a normal variation in heart rate that occurs during breathing and is not typically associated with palpitations or sudden jumps in heart rate.
7 / 50
A 67 year old man is found to have an ejection systolic murmur. He is otherwise well.
His pulse is 72 bpm and BP 128/84 mmHg. His chest is clear.
Investigations:
ECG shows sinus rhythm.
Echocardiography shows aortic stenosis, valve gradient 50 mmHg. Left ventricular (LV) diastolic dysfunction, LV ejection fraction 45% (>55).
Which is the most appropriate management?
Aortic stenosis with left ventricular ejection fraction (LVEF) less than 55% should be referred for consideration of an AVR. Medications should not be started as these have no effect on the valve disease progression and may even cause side effects. The patient needs to begin the process of definitive treatment with valve replacement, so it is not good practice or safe to either discharge or review in 6 months.
8 / 50
A 61-year-old man has had 2 months of ankle swelling. He has hypertension and a 30-year history of seronegative polyarthritis. His medication includes ramipril, sulfasalzine, hydroxychloroquine sulfate and diclofenac. His BP is 156/90 mmHg. He has pitting oedema to mid thigh and signs of chronic deforming polyarthropathy in his hands, but no joint tenderness. His optic fundi show silver wiring and arteriovenous nipping. Urinalysis: protein 4+, no other abnormalities. Investigations: Sodium 133 mmol/L (135–146) Potassium 5.4 mmol/L (3.5–5.3) Urea 9.0 mmol/L (2.5–7.8) Creatinine 119 μmol/L (60–120) Albumin 21 g/L (35–50) CRP 43 mg/L (<5) Urinary protein: creatinine ratio 1100 mg/mmol (<30)
Which is the most appropriate initial treatment?
Based on the clinical presentation and investigations, the most likely diagnosis is nephrotic syndrome, possibly secondary to the patient’s long-standing polyarthritis. The appropriate initial treatment would be to start a furosemide to reduce the patient’s ankle swelling and to refer the patient to a specialist for further investigation and management of the underlying cause. Furosemide is a loop diuretic that acts on the ascending limb of the loop of Henle to increase sodium and water excretion, which can reduce oedema. It is a commonly used diuretic in the management of nephrotic syndrome.
9 / 50
A 67-year-old man has difficulty chewing and speaking. He underwent carotid surgery 2 days ago. His tongue deviates to the right when he is asked to protrude it.
Which nerve has been damaged?
The hypoglossal nerve is responsible for the motor function of the tongue, including protrusion and side-to-side movements. Damage to the hypoglossal nerve on one side will cause the tongue to deviate towards the affected side (the stronger left side will push it to the right). In this case, the patient had carotid surgery on the left side, so the right hypoglossal nerve is likely to have been damaged.
10 / 50
A 70-year-old man has a sharp stabbing pain in his jaw and cheek that lasts for seconds. He reports that the pain is triggered when brushing his teeth, when the cold wind blows on his face, and when he touches his face.
Which is the most appropriate treatment?
The symptoms described suggest the diagnosis of trigeminal neuralgia. Carbamazepine is the first-line treatment for this condition and is, therefore, the most appropriate option among the choices given.
11 / 50
A 75-year-old woman has had 5 months of a 2 cm red plaque on her leg. Investigation: Skin biopsy: Bowen's disease
Which is the most appropriate topical treatment?
The most appropriate topical treatment for Bowen’s disease, a type of squamous cell carcinoma in situ 5-fluorouracil (Efudix®) cream. This is a form of topical cytotoxic chemotherapy which is used to treat both Bowen’s disease and actinic keratosis. It is typically applied to the affected area once or twice a day for 2-4 weeks. An inflammatory reaction, which can be severe, should be expected. Topical corticosteroids such as betamethasone valerate have no effect on Bowen’s disease. Diclofenac can be used to treat actinic keratosis but is not indicated for Bowen’s disease. Isotretinoin gel is a retinoid used in the treatment of acne. Salicylic acid is a keratolytic agent, which is used in the management of hyperkeratotic lesions such as viral warts and sometimes actinic keratoses. Whilst it might reduce hyperkeratosis in Bowen’s, it will not treat the underlying dysplasia effectively.
12 / 50
A 70-year-old man is an inpatient in the cardiology ward. He has worsening breathlessness that woke him up last night. His pulse is 99 bpm, BP 160/100 mmHg and respiratory rate 20 breaths per minute. Auscultation of the chest reveals bibasal crepitations, and there is dullness to the percussion of both bases. Chest X-ray shows small bilateral pleural effusions with upper lobe blood vessel diversion.
Which is the most appropriate diagnostic investigation?
Echocardiography would be the most appropriate diagnostic investigation for this patient with worsening breathlessness and signs of heart failure on examination and chest X-ray. Echocardiography can provide information on cardiac function and identify possible causes of heart failure, such as valvular disease, cardiomyopathy or pericardial effusion. Coronary angiography would be indicated if there is suspicion of underlying coronary artery disease, but the presentation in this case suggests heart failure rather than acute coronary syndrome. CT pulmonary angiography and serum D-dimer would be indicated if there is suspicion of pulmonary embolism, but the presence of bilateral pleural effusions and upper lobe blood vessel diversion on chest X-ray suggests a cardiac cause for the symptoms. ECG may show evidence of underlying cardiac disease, but echocardiography would be a more appropriate investigation to assess cardiac function.
13 / 50
A 60-year-old man has 6 months of dry cough and increasing shortness of breath on effort. He was previously fit and well and is a non-smoker. His temperature is 36.8°C, pulse rate 60 bpm, and oxygen saturation 89% breathing air. He has finger clubbing. Cardiac examination is normal, and chest examination reveals bibasal crepitations.
All of the answers are possible causes of cough, finger clubbing, and increasing breathlessness, but Idiopathic Pulmonary Fibrosis (IPF) is most likely.
The dry cough, increasing shortness of breath on exertion, hypoxia, finger clubbing, and bibasal crepitations are all in keeping with IPF. Lung cancer is less likely as the patient is a non-smoker, and the signs are bilateral in the chest. Extrinsic allergic alveolitis is a possible correct answer, but it is less common than IPF and is usually associated with a history of exposure to a specific antigen. Pulmonary TB is less likely as there is no fever, the cough is dry, and the signs are bibasal.
14 / 50
A 35-year-old man attends his GP with 3 days of a red, painful left eye with no discharge. There is a diffuse area of redness in the medial aspect of his left sclera. His pupils and visual acuity are normal.
The symptoms of a painful red eye without discharge and a diffuse area of redness on the sclera are suggestive of scleritis, which requires immediate referral by his GP to an ophthalmologist via the emergency eye clinic. Scleritis is an inflammatory condition of the sclera that can lead to other serious ocular complications if untreated. Although topical corticosteroids may be used in the management of scleritis these should only be initiated under the supervision of an Ophthalmologist after confirmation of the diagnosis. None of the other options in this case would be appropriate.
15 / 50
A 48-year-old woman has rheumatoid arthritis. She takes regular paracetamol and has no drug allergies. She is due to commence methotrexate weekly.
Which additional treatment should be prescribed?
Folic acid is recommended as an additional treatment for patients taking methotrexate to reduce the risk of adverse effects. It can be used for this purpose once a week or daily but omitted on the day of the (weekly) methotrexate dose. Calcium carbonate, pyridoxine hydrochloride, thiamine, and vitamin D are not routinely prescribed as additional treatments for methotrexate. Pyridoxine hydrochloride is usually prescribed alongside isoniazid in the treatment of tuberculosis.
16 / 50
An 87-year-old man develops profuse watery diarrhoea 6 days after admission for an infective exacerbation of COPD. He is currently taking oral coamoxiclav.
Which is the most likely causative organism?
The most likely causative organism, in this case, is Clostridioides difficile (Clostridium difficile), as it is a common cause of antibiotic-associated diarrhoea and the patient is taking oral co-amoxiclav.
17 / 50
A 52-year-old woman has had four episodes of severe, colicky epigastric pain associated with vomiting over the past 3 months. The episodes occurred after eating and lasted about 1 hour before the complete resolution. She has type 2 diabetes mellitus and takes metformin. Abdominal examination is normal. Her BMI is 35 kg/m2.
The patient reports intermittent episodes of colicky pain in association with nausea and vomiting. This would be consistent with biliary colic. She has risk factors for gallstones, including being female, middle-aged, and overweight. Therefore an ultrasound of abdomen would be the appropriate investigation at this stage. Pain associated with gastro-oesophageal reflux disease (GORD) and dyspepsia – this is likely to lead to persistent symptoms over a period of time. Upper Gi endoscopy and Helicobacter stool antigen test are relevant when investigating for suspected GORD. Serum amylase is indicated in suspected pancreatitis. Plain abdominal X-ray would be potentially helpful in the investigation of suspected small or large bowel pathologies (e.g. obstruction, constipation), although CT would likely be more informative.
18 / 50
A 35-year-old woman was admitted two days ago after taking 32 paracetamol tablets. She has an alcohol use disorder. Her weight is 40 kg. She has been treated with a full dose of acetylcysteine.
Which investigation best demonstrates the restoration of liver synthetic function?
In this scenario, the patient has ingested a potentially toxic amount of paracetamol and has been treated with acetylcysteine, which is the antidote for paracetamol overdose. As a result, the most likely organ affected is the liver, and the investigation that best demonstrates the restoration of liver synthetic function is the prothrombin time (PT). Paracetamol overdose can cause liver damage, which can lead to a decrease in the synthesis of clotting factors by the liver. The PT is a measure of the time it takes for a clot to form in a blood sample, and it is used to assess liver function. An elevated PT indicates impaired liver function, and a prolonged PT is commonly seen in patients with liver damage due to paracetamol overdose. Therefore, monitoring the PT is essential in patients with paracetamol overdose to assess the extent of liver damage and to evaluate the effectiveness of treatment with acetylcysteine. Albumin is a protein synthesized by the liver and is often used as a marker of liver function. However, albumin levels may not show immediate changes in liver synthetic function in the setting of acute liver injury. ALT is an enzyme that is released into the bloodstream when liver cells are damaged. ALT levels can be elevated in patients with liver damage due to paracetamol overdose, but they do not reflect the restoration of liver synthetic function. Bilirubin is a pigment produced by the breakdown of red blood cells and is typically elevated in patients with liver damage. However, it does not reflect the restoration of liver synthetic function. γGT is an enzyme found in liver cells that can be elevated in patients with liver damage. However, it is not a specific marker of liver function, and its levels may remain elevated even after the restoration of liver synthetic function. Therefore, the investigation that best demonstrates the restoration of liver synthetic function in this patient is the prothrombin time (PT).
19 / 50
A 74-year-old woman has 6 months of progressive weakness of her right leg and 3 months of a similar problem on the left, resulting in several falls. She has also noticed difficulty using her hands and can no longer fasten the buttons on her clothes. There is wasting of both legs and the hands, particularly the thenar eminences. There is fasciculation in her right quadriceps. The tone is increased in both legs, with brisk reflexes.
The most likely diagnosis is a motor neurone disease, which is characterised by progressive weakness and wasting of muscles due to degeneration of motor neurones in the brain and spinal cord. The combination of both lower motor neurone signs (fasciculation) and upper motor neurone signs (brisk reflexes) in the same limb are particularly characteristic of motor neurone disease. Multiple sclerosis is purely upper motor neurone and the options listed (chronic inflammatory demyelinating polyneuropathy, myasthenia gravis, and polymyositis) are purely lower motor neurone conditions.
20 / 50
A 34-year-old woman has a recurrent itchy rash lasting several hours before resolving (see image). She has not identified any triggers. She is systemically well. She is a firefighter and says that she does not want any treatments that may affect her level of alertness.
Which is the most appropriate treatment to control her symptoms?
The image shows urticarial weals. The initial treatment for this should be a non-sedating H1-antihistamine. The correct answer is thus oral loratadine. Chlorphenamine maleate is a sedating antihistamine, which is more likely to cause adverse effects; this patient also specifically requested treatment that would not affect her level of alertness. Prednisolone is effective for severe, acute urticaria but should not be used first-line. Aqueous cream is a soap substitute and has no role in managing urticaria. Topical corticosteroids are ineffective for urticaria, so hydrocortisone is not indicated here.
21 / 50
A 55-year-old man is rescued from a collapsed building where he has been trapped for 12 hours without water. His temperature is 35.6°C, pulse rate 100 bpm and BP 90/42 mmHg. His JVP is not visible. His abdomen is non-tender. Investigations: Haemoglobin 168 g/L (130–175) Sodium 148 mmol/L (135–146) Potassium 6.0 mmol/L (3.5–5.3) Urea 25.1 mmol/L (2.5–7.8) Creatinine 184 μmol/L (60–120) Creatine kinase 840 U/L (25–200)
Which is the most likely cause of this biochemical picture?
The most likely cause is acute kidney injury due to hypovolaemia. The observations of tachycardia and hypotension fit this. There are no signs of sepsis or reason why this has developed. The creatine kinase is only minimally elevated and would normally be >10,000 in cases of rhabdomyolysis.
22 / 50
An 83-year-old woman has recurring dizzy spells. The episodes are associated with transient shaking of her hands, which is most noticeable before her lunch and evening meals. She has hypertension and type 2 diabetes mellitus. She takes metformin (1 g twice daily), gliclazide (80 mg twice daily) and ramipril (10 mg daily). Her BP is 138/82 mmHg lying and 130/78 mmHg standing. Her blood capillary glucose is 6 mmol/L. Investigations: Sodium 136 mmol/L (135-146) Potassium 5.0 mmol/L (3.5-5.3) Urea 3.9 mmol/L (2.5-7.8) Creatinine 77 μmol/L (60-120) Glycated haemoglobin 50 mmol/mol (20-42)
Which is the most appropriate therapeutic change?
This 83-year-old woman is experiencing symptoms consistent with hypoglycaemia. The timing of her ‘dizzy spells’ and hand shaking - before lunch and evening meals - suggests they might be related to periods of extended fasting and, thus, to her medications, particularly the ones that have the potential to lower blood glucose. Furthermore, her glycated haemoglobin (HbA1c) level is 50 mmol/mol. While this is elevated compared to the normal reference range provided (20-42 mmol/mol), it’s in the target range or even a bit stringent for many elderly patients with type 2 diabetes. Overly aggressive glycaaemic control can increase the risk of hypoglycaemia in older adults. Therefore, the most appropriate therapeutic change, given the symptoms and the clinical context, would be to reduce the gliclazide dose.
23 / 50
A 24-year-old man attends the Emergency Department after 2 days of vomiting. He has type 1 diabetes. He is drowsy but maintaining his airway. His pulse rate is 100 bpm, BP 90/60 mmHg, respiratory rate 30 breaths per minute and oxygen saturation 96% breathing air. Investigations: Blood capillary glucose 32 mmol/L Blood capillary ketones 6.2 mmol/L (<0.6) Venous pH 7.15 (7.35–7.45)
This patient has diabetic ketoacidosis (DKA). The first step in treatment is intravenous 0.9% sodium chloride to correct dehydration and hyperosmolality. IV insulin will be required but follows the initial fluid prescription.
24 / 50
A 50-year-old man has a 3-month history of right loin pain and weight loss. For the past 20 years, he has smoked ten cigarettes per day. His temperature is 37.4°C, pulse rate is 72 bpm, and BP is 142/74 mmHg. Investigations: Haemoglobin 11.2 g/L (130–175) Platelets 340 × 109/L (150–400) White cell count 10.1 × 109/L (4.0–11.0) Urinalysis blood 3+
Given the patient’s history of weight loss, loin pain, and smoking, as well as the presence of blood in the urine, the most likely diagnosis is renal cancer. Other conditions, such as benign prostatic hypertrophy, pyelonephritis, renal calculus, and urinary tract infection, may also present with similar symptoms but are less likely given the patient’s history and laboratory findings. Further imaging studies, such as a CT scan or ultrasound, would be needed to confirm the diagnosis.
25 / 50
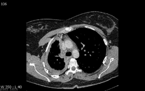
A 76-year-old woman has progressive breathlessness with right-sided pleuritic chest pain and weight loss over 6 months. She is a retired mechanic and has a 25 pack-year smoking history. Investigations: Chest X-ray: marked volume loss in right hemithorax CT scan of the chest: see image
The symptoms and imaging findings described in the scenario are consistent with malignant pleural mesothelioma. The CT image shows marked volume loss in the right lung and the right lung is encased with tumour. The patient may have been exposed to asbestos at her job as a mechanic (brake pads, etc.). Chronic hypersensitivity pneumonitis and asbestosis have changes in the lung fields, not the pleura. The changes are usually bilateral and crackles are heard at the area of abnormality. This patient’s history would fit with lung cancer, and she does have risk factors for lung cancer (smoking and asbestos exposure) but chest pain is more common with mesothelioma, and the CT scan appearances are classical of mesothelioma as the thickening is of the pleura. TB can mimic anything but it is less likely in this case and there is no fever.
26 / 50
A 46-year-old man has pain in his left leg and tingling in his left big toe. He developed severe lower back pain 1 week ago and he is unable to walk on his left heel. There is loss of pinprick perception over the left great toe.
Which nerve root is the most likely to have been affected?
L5 is the most likely nerve root to have been affected. The patient has a combination of lower back pain, pain in the left leg, and tingling in the left big toe, which are consistent with the dermatomal distribution of the L5 nerve root. The inability to walk on the left heel suggests a left-sided foot drop, and so is also consistent with L5 nerve root dysfunction. The loss of pinprick perception over the left great toe also suggests an involvement of the L5 dermatome.
27 / 50
A 24-year-old woman has diarrhoea. She is HIV positive and has been working in Namibia.
Investigation: Faeces microscopy (following modified Ziehl–Neelsen stain): protozoa
Cryptosporidium parvum is the most likely causative organism for diarrhoea in an HIV-positive patient working in Namibia. Cryptosporidium is a protozoan parasite that can cause diarrhoea in immunocompromised patients, including those with HIV. It is commonly found in contaminated water sources and is a significant cause of diarrhoeal disease in developing countries. Acanthamoeba, Entamoeba coli, Plasmodium falciparum, and Schistosoma mansoni can also cause various diseases but are less likely to be the cause of diarrhoea in this patient given the clinical context.
28 / 50
A 65-year-old woman has severe left-sided abdominal pain. Yesterday, she noticed blood mixed in with her stools. She has no weight loss. Her temperature is 37.7°C. She is very tender on palpation in the left lower quadrant. No masses are felt on rectal examination, but there is blood on the glove.
Which is the most likely cause of her symptoms?
Based on the patient's presentation of severe left-sided abdominal pain, blood mixed in with her stools, and tenderness on palpation in the left lower quadrant, the most likely cause of her symptoms is diverticulitis. Angiodysplasia is a condition where abnormal blood vessels in the gastrointestinal tract can cause bleeding, but it typically presents with painless bleeding and is not associated with abdominal pain or tenderness. Colorectal cancer can cause abdominal pain and bleeding, but it is less likely to present with acute onset of severe pain and tenderness, especially if there is no history of weight loss. Haemorrhoids can cause bleeding during bowel movements, but they typically do not cause severe abdominal pain. Ulcerative colitis is a chronic inflammatory bowel disease that can cause abdominal pain and bloody diarrhoea, but it is less likely to present with acute onset of severe pain and tenderness. Additionally, the absence of any history of weight loss makes ulcerative colitis less likely. Therefore, based on the information provided, diverticulitis is the most likely cause of this patient's symptoms.
29 / 50
A 52-year-old man has three days of severe epigastric pain radiating to his back but no chest pain. He has vomited several times. He was previously well. He drinks approximately 60 units of alcohol a week and smokes 20 cigarettes per day. There is epigastric tenderness, but his abdomen is not distended, and bowel sounds are present.
Which test would confirm the most likely diagnosis?
Serum amylase concentration would confirm the most likely diagnosis in this case. The patient presents with severe epigastric pain radiating to his back and vomiting, which are suggestive of acute pancreatitis. The presence of epigastric tenderness but not a distended abdomen and normal bowel sounds are also consistent with this diagnosis. Serum amylase concentration is an important diagnostic test for acute pancreatitis. Elevated serum amylase levels occur early during the disease and can be measured within hours of symptom onset. Abdominal X-ray, gastroduodenoscopy, serum alkaline phosphatase concentration, and ultrasound scan of the abdomen may be useful in certain cases, but they are not as specific for diagnosing acute pancreatitis as serum amylase concentration.
30 / 50
An 80-year-old man has an ulcer over the left heel and reduced mobility. He has a loss of appetite. He has type 2 diabetes mellitus and has previously had a myocardial infarction. The ulcer is 3 cm in diameter and deeply penetrating. Sensory testing shows reduced vibration sense but normal sensation to light touch. His Doppler ratio (ankle brachial pressure index) on the left is 0.68, and on the right is 0.98 (normal value 1.00).
Which is the most likely mechanism of his ulcer?
The ulcer description is arterial. Given the APB of 0.68 and a history of previous MI to support this diagnosis. Normal sensation rules out neuropathic. Nutritional, venous and vasculitic ulcers have different characteristics.
31 / 50
A 35-year-old man has burning pain in his feet and difficulty sleeping. He has type 1 diabetes mellitus, retinopathy, and nephropathy. Investigation: eGFR 28 mL/min/1.73m2(> 60)
The most appropriate management for this patient with type 1 diabetes mellitus, burning pain in his feet, difficulty sleeping, and decreased eGFR would be amitriptyline. Although duloxetine can be used in this condition, it is not recommended with an eGFR <30 mL/min.
32 / 50
A 76-year-old woman has no energy and reports excessive tiredness for 3 weeks. She has lost 5 kg in weight over the past 3 months. She drinks 30 units of alcohol per week. She is thin and jaundiced. Her temperature is 37.2°C. She has a palpable epigastric mass and 4 cm liver edge.
The most likely diagnosis, given the presentation of the patient, is pancreatic adenocarcinoma. The symptoms of excessive tiredness, weight loss, jaundice, and palpable mass in the epigastric area along with a history of alcohol use make pancreatic adenocarcinoma the most probable diagnosis. The presence of a 4cm liver edge also indicates liver metastasis.
33 / 50
A 35-year-old man has painless swelling of the right side of his scrotum. The swelling is soft and fluctuant and transilluminates.
Based on the provided information, the most likely diagnosis is hydrocoele. A hydrocoele is a collection of fluid surrounding the testicle within the tunica vaginalis, causing painless swelling of the scrotum. The swelling is typically soft, fluctuant, and transilluminates when a light is shone on it. This condition can occur at any age but is more common in older men. An inguinal hernia may also present as a painless swelling in the scrotum, but it is typically firmer and does not transilluminate. Testicular torsion, on the other hand, is a painful condition that normally presents with a sudden onset of severe testicular pain, often accompanied by nausea and vomiting. Testicular tumours may present as a painless testicular mass or swelling, but they are less likely to cause diffuse scrotal swelling. Varicoceles are enlarged veins within the scrotum, but they typically feel like a bag of worms and do not transilluminate.
34 / 50
A 75-year-old man is found collapsed at home and is brought to the Emergency Department. He has right-sided weakness and reduced consciousness. He has type 2 diabetes mellitus, atrial fibrillation and hypertension. He takes warfarin. Investigations: INR 4.6 (<1.4) CT scan of the head shows a large intracranial haemorrhage. He is given intravenous vitamin K.
Which is the most appropriate next additional treatment?
The patient has an INR of 4.6, which is significantly elevated, suggesting an excessive anticoagulant effect of warfarin. The CT scan shows a large intracranial haemorrhage, which is a life-threatening complication that requires urgent management. The administration of vitamin K will help to reverse the anticoagulant effect of warfarin, but this will take several hours to take effect. In the meantime, the patient is at risk of ongoing bleeding, and so requires further treatment. Prothrombin complex concentrate (PCC) is the most appropriate next additional treatment in this situation. PCC is a concentrated source of clotting factors that can be used to rapidly reverse the anticoagulant effect of warfarin and restore haemostasis. It is more effective than fresh frozen plasma or cryoprecipitate and has a lower risk of complications. Fibrinogen concentrate is not indicated in this situation as there is no evidence of fibrinogen deficiency.
35 / 50
A 64-year-old man has developed a tremor in both arms over the last 6 months. It is worse on the right. He also reports difficulty sleeping due to restlessness. He appears emotionally flat and has a tremor at rest that is alleviated by movement.
Which neurotransmitter is most likely to be deficient?
The diagnosis is Parkinso’s disease and hence, dopamine is most likely to be deficient. The presence of an asymmetric resting tremor that is alleviated on movement is a characteristic feature of Parkinson’s disease. The restless sleep implies probable associated REM sleep behaviour disorder.
36 / 50
A 72-year-old woman could not sleep well for the past 3 years. She gets to sleep by 23:00 but wakes up two or three times in the night and gets up by 07:00. Her husband says that she doesn't snore. She carries out her normal daytime activities with no daytime somnolence. She is otherwise well. Her BMI is 23 kg/m2. Her MMSE (Mini-Mental State Examination) score is 27/30.
Which is the most likely cause of her insomnia?
Based on the information given, the most likely cause of her insomnia is normal age-related sleep patterns. This is because she can carry out normal daytime activities with no daytime somnolence, has no history of snoring or other sleep-related symptoms, and has a high MMSE score indicating good cognitive function. It is common for older adults to experience changes in their sleep patterns, such as more fragmented sleep and more frequent awakenings during the night. Other potential causes, such as depression, dementia, hypomania, and obstructive sleep apnoea, would require further evaluation and additional symptoms or risk factors to be confirmed.
37 / 50
A 29-year-old woman has 2 days of marked loss of vision and acute pain in her left eye. The pain is worse when she changes her gaze direction. Her eyes appear normal on general inspection. Her vision is 'count fingers only' in the affected eye. The swinging flashlight test shows that the left pupil dilates when a bright light is moved from the right eye to the left eye. The optic discs are normal on fundoscopy.
The most likely diagnosis in this scenario is retrobulbar optic neuritis. The acute onset of eye pain and marked loss of vision, along with the presence of relative afferent pupillary defect (RAPD) on the swinging flashlight test, are suggestive of optic neuritis. The absence of optic disc swelling on fundoscopy suggests a retrobulbar lesion. Acute closed-angle glaucoma also presents with acute eye pain, but it is typically associated with other features such as vomiting, headaches, and a red eye with a dilated pupil accompanied by high intraocular pressure. Giant cell arteritis can also cause acute visual loss. Still, it is more commonly seen in older patients and is often associated with systemic symptoms such as headache, jaw claudication, and malaise. Idiopathic intracranial hypertension can cause vision loss and headache, but it typically does not cause pain with eye movements. Migraine with aura can cause visual disturbances, but it is typically not associated with pain, and the presence of RAPD suggests a neuro-ophthalmic rather than a primary headache disorder.
38 / 50
A 45-year-old woman develops an intensely painful eruption around her right eye. The illness started with pain 5 days previously, followed by the appearance of a few vesicles, which have now developed into a rash (see image). She has no significant medical history. Treatment is started.
Which is the most likely long-term outcome?
The clinical presentation described in this scenario is consistent with herpes zoster ophthalmicus, which is caused by reactivation of the varicella-zoster virus in the ophthalmic division of the trigeminal nerve. Ocular involvement occurs in approximately 50% of patients, and some of them can experience a range of complications. However, in most cases, there is a complete resolution with no sequelae.
39 / 50
A 27-year-old woman has muscle weakness, which is worse with exercise. When asked to count from one to 100, her voice progressively becomes weaker. She has bilateral ptosis.
Which pathophysiological process is most likely to be responsible for this disorder?
Autoimmunity is the most likely pathophysiological process responsible for this disorder. The symptoms described are consistent with myasthenia gravis, an autoimmune disorder that affects neuromuscular transmission. The muscle weakness worsens with exercise or prolonged use, and the patient also has bilateral ptosis, which is a common feature of myasthenia gravis. The progressive weakness of voice during counting is a characteristic finding known as the "fatigue test". Autoimmune antibodies target the acetylcholine receptors at the neuromuscular junction, resulting in impaired transmission of nerve impulses to the muscle.
40 / 50
A 78-year-old woman is admitted to the surgical unit with a suspected vesicocolic fistula. She has hypertension, type 2 diabetes mellitus and angina.She takes amlodipine, metformin, gliclazide, simvastatin and bisoprolol. Her serum creatinine is 120 μmol/L (60–120). The consultant surgeon requests a CT scan of the abdomen with contrast.
Which medication should be stopped before her CT scan?
Metformin should be stopped before a CT scan with contrast as it can increase the risk of contrast-induced nephropathy. The risk is greater in patients with impaired renal function like the patient in this scenario. The other medications do not need to be stopped before the CT scan.
41 / 50
A 32-year-old woman has had palpitations and hot flushes for 4 weeks. She has noticed a painless swelling in her neck over the same time and her weight has decreased by 2 kg. She gave birth 4 months ago after a normal pregnancy. She is not breastfeeding.
Her pulse rate is 120 bpm and BP 140/90 mmHg. She is tremulous and restless. She has a large smooth non-tender goitre.
Free T4 35.6 pmol/L (9–25)
Free T3 10.8 pmol/L (4.0–7.2)
TSH <0.01 mU/L (0.3–4.2)
Thyroid peroxidase antibodies >1600 IU/L (<50)
Thyroid stimulating antibodies <1.0 IU/L (<1.75)
The patient’s presentation and investigations are consistent with hyperthyroidism and a diagnosis of postpartum thyroiditis. Given her symptoms of palpitations, hot flushes, tremulousness, and a high pulse rate, the most appropriate initial treatment is option propranolol. It works by blocking the effects of thyroid hormones on the heart and peripheral tissues. Propranolol can be started immediately to control the patient’s symptoms while further investigations and management are initiated.
42 / 50
A 24-year-old woman has tiredness, bloating, and weight loss with bouts of offensive-smelling diarrhoea. Abdominal examination is normal. Investigations: Haemoglobin 10.0 g/L (115–150) Mean cell volume (MCV) 78 fL (80–96) Platelets 350 × 109/L (150–400) Duodenal biopsy shows flattening of villi and increased lymphocytes in the lamina propria and surface epithelium. In addition, there is gross crypt hyperplasia.
The most likely diagnosis is Coeliac disease. The symptoms of tiredness, bloating, and weight loss, along with flattened villi and increased lymphocytes in the lamina propria and surface epithelium on duodenal biopsy, suggest the diagnosis. The low haemoglobin and MCV values could also be attributed to malabsorption associated with coeliac disease. The other options listed (carcinoid tumour, collagenous enteropathy, Crohn’s disease, and pseudomembranous enteropathy) do not fit the clinical picture and findings described in the case.
43 / 50
A 76-year-old woman with hypertension is taking amlodipine 10 mg daily. A 24-hour BP measurement shows a mean BP of 168/90 mmHg. Investigations: Sodium 135 mmol/L (135–146) Potassium 4.0 mmol/L (3.5–5.3) Urea 7 mmol/L (2.5–7.8) Creatinine 100 μmol/L (60–120) eGFR 68 mL/min/1.73 m2(>60) Urinary albumin: creatinine ratio 50 mg/mmol (<3.5)
Which class of antihypertensive should be added?
ACE inhibitors are the most effective medication to treat albuminuria to delay progression to end-stage renal disease and reduces cardiovascular risk. NICE suggest that ACE inhibitors or AR2B medications should be the first choice in this situation with an ACR >30 mg/mmol in a patient with hypertension. There is no evidence that other medications reduce proteinuria and, thus, CVS risk.
44 / 50
A 65-year-old man attends the anticoagulant clinic. He has had a metal mitral valve replacement and atrial fibrillation. He takes warfarin 7 mg daily. His pulse rate is 70 bpm, irregularly irregular, with a mechanical second heart sound. There are no signs of bleeding. His INR is 5.1
Which is the most appropriate next step in management?
It is important to maintain a therapeutic INR to avoid thromboembolism from both the metallic valve and atrial fibrillation. However, we also have to manage the risk of bleeding. With an INR of 5.1, there is a risk of bleeding, which can be catastrophic if affecting vital organs such as the brain. In this situation, with no bleeding, it is safe to withhold the warfarin for 2 days to allow it to reduce naturally and then perhaps start at a lower dose of warfarin than before. Not stopping warfarin runs the risk that the INR fails to fall with a risk of bleeding (A and B wrong). Reducing the INR too quickly with vitamin K (IV or oral) in the absence of bleeding, can lead to the development of thromboembolisms occurring and also challenges in maintaining future therapeutic levels (requirement for SC heparin).
45 / 50
An 80-year-old man has a sudden onset of loss of vision in his right eye. He has hypertension and a previous stroke. His visual acuity is hand movements only in the right eye and 6/9 in the left eye. The right eye has an afferent pupillary defect; the left eye pupil responses are normal. On fundoscopy, there is a red spot on the right macula.
The most likely diagnosis in this scenario is Central Retinal Artery Occlusion (CRAO). The sudden onset of visual loss, the presence of an afferent pupillary defect, and red spot (the cherry red spot) on fundoscopy are all consistent with this diagnosis. The patient also has risk factors for this diagnosis. In branch retinal vein occlusion patients typically have multiple retinal haemorrhages in the distribution of the vein. Macular degeneration does not cause sudden onset visual loss, and although both retinal detachment and anterior ischaemic optic neuropathy cause acute visual loss, neither have the fundoscopic findings described.
46 / 50
An 18-year-old woman is found dead, sitting in front of a gas fire that is still burning. The flue that carries gases away from the fire is found to be blocked.
What is the principal mechanism of action of the poison involved in her death?
The most likely cause of death in this case is carbon monoxide (CO) poisoning, which is known to result from blocked flues and unvented fires. CO binds to the site on haemoglobin normally occupied by oxygen, thereby reducing the oxygen-carrying capacity of the blood. This leads to tissue hypoxia and eventually death.
47 / 50
An 18-year-old woman has had 3 years of intermittent zig-zagging and flashing lights in both eyes associated with headache. These episodes occur 2-3 times per month and last approximately half an hour. The symptoms are associated with nausea and vomiting. Her vision is affected at the time of each episode but returns to normal afterwards.
The most likely diagnosis is Migraine. The classic visual symptoms of zig-zagging and flashing lights, headache, nausea, and vomiting are typical features of migraine with aura. The fact that the patient’s vision returns to normal after each episode is also consistent with migraine. Acute glaucoma and retinal detachment may present with sudden onset of symptoms, but these are a ‘one off’ and persist and require urgent ophthalmologic assessment. Occipital lobe epilepsy is a possibility but less likely since zig-zags almost always point to migraine rather than epilepsy. Tension-type headache does not typically have visual symptoms.
48 / 50
A 65-year-old man receives a renal transplant. He is transferred back to the ward after four hours in recovery. His pulse is 106 bpm regular, BP 110/70 mmHg and respiratory rate 18 breaths per minute. His chest is clear on auscultation. His urine output has been 15–20 mL per hour while in recovery. Drain output has been 120 mL since surgery. Investigations: Haemoglobin 90 g/L (130–175) (preoperative level 103 g/L) Sodium 142 mmol/L (135–146) Potassium 5.8 mmol/L (3.5–5.3) Urea 31.9 mmol/L (2.5–7.8) Creatinine 590 μmol/L (60–120)
Which is the next most appropriate management step?
The patient has a low urine output, with tachycardia and relative hypotension shortly after a renal transplant. In this early post-operative phase the most likely cause is hypovolaemia so the most appropriate intervention would be to administer a fluid challenge.
49 / 50
A 72-year-old woman has had 4 months of progressive difficulty walking. She describes numbness and tingling in her feet and has fallen on several occasions. She has normal tone of her lower limbs, moderate weakness of ankle dorsiflexion and plantar flexion, normal knee jerks, but absent ankle jerks and extensor plantars. Romberg's test is positive. She has reduced vibration sense, and joint position sense is impaired up to the ankle joints. Temperature and pinprick sensations are normal.
The clinical picture is consistent with subacute combined degeneration of the cord, giving a mixture of upper motor neurone (extensor plantars) and lower motor neurone (absent ankle jerks) features. The sensory ataxia (positive Romberg’s test and absent position sense in the ankles) is most likely due to dorsal column dysfunction from vitamin B12 deficiency, which can be confirmed by serum vitamin B12 measurement. Vitamin B12 deficiency of this severity is usually caused by pernicious anaemia.
50 / 50
A 73-year-old man is in hospital with a chest infection. He has several episodes of confusion, anxiety and aggression, during which he attempts to leave the hospital. He is convinced he is being 'spied on' by the doctors and nurses and insists that 'cameras have been installed in my room'. These episodes alternate with periods of marked lethargy, which become more pronounced towards the evening. His temperature is 37.8°C, pulse rate 100 bpm, BP 110/73 mmHg and respiratory rate 12 breaths per minute.
Delirium is the most likely diagnosis given the patient’s acute onset of confusion, fluctuating level of consciousness, perceptual disturbances, and physical illness (chest infection) as a precipitating factor. Delirium is a common acute neuropsychiatric disorder among hospitalised elderly patients and can be caused by a variety of factors such as infection, medication side effects and metabolic derangements. Alzheimer’s dementia and Lewy body dementia are chronic neurodegenerative disorders characterized by progressive cognitive decline and are not typically associated with acute changes in mental status. Bipolar disorder and schizophrenia are chronic psychiatric disorders that may cause psychosis and delusions but are not typically associated with the acute onset of confusion seen in delirium.
Your score is
The average score is 53%
Restart quiz
How was the test? Please Submit your Rating and give us a feedback!
Thank you for taking the time to complete a mock test on our website. We appreciate your effort and dedication.
We wish you the best of luck in your preparation and future exams. If you have any feedback or suggestions, please let us know.
Your email address will not be published. Required fields are marked *
Δ