Skill Tests
Skill Tests » UKMLA Test » UKMLA Practice Papers » Practice Test 1
UKMLA Practice Tests
Applied Knowledge Test 1
1 / 50
A 3-year-old boy has had diarrhoea for 6 months. He has 4-5 watery stools per day that contain visible pieces of sweetcorn and other vegetables. He is thriving and developing well.
Which is the most likely diagnosis?
The most likely diagnosis is toddler diarrhoea. Toddler diarrhoea is a common condition in children between 6 months and 5 years of age, characterised by chronic, non-bloody, watery diarrhoea with no signs of malabsorption or growth failure. It typically occurs during the daytime and is associated with consuming large amounts of fruit juice, high-fibre foods, and other carbohydrates. It is usually self-limiting and resolves by the age of 5 years.
2 / 50
A 19-month-old girl has been able to sit unsupported for 1 month. She can speak 2 words and has just started to feed herself using her fingers. She was born at 30 weeks' gestation.
Which is the best description of her current development?
The best description of the development is gross motor delay. A child should be able to sit unsupported by 7 months of age; speak at least 2 words and feed themselves using fingers by 12 months of age. The fact that she was born at 30 weeks’ gestation i.e. 10 weeks premature, should be taken into consideration when assessing her development. Development may be delayed by approximately 10 weeks, but this does not explain the delay seen here.
3 / 50
A 65-year-old man has had constant back and right knee pain for 6 months, partially relieved by analgesia. He is an ex-smoker. He is otherwise well.
Investigations: Haemoglobin 132 g/L (130-175) Alkaline phosphatase 850 IU/L (25-115) Calcium 2.3 mmol/L (2.2-2.6) Phosphate 0.9 mmol/L (0.8-1.5) Prostate-specific antigen 5 μg/L (<4.0) X-rays: sclerotic areas in lower right femur and lumbar spine L3 Isotope bone scan: areas of increased uptake in the femur, lumbar spine and skull
Based on the given information, the most likely diagnosis is Paget's disease of bone. The patient's history, investigations and imaging findings suggest a diagnosis of Paget’s disease of bone. The elevated alkaline phosphatase, with normal Calcium and Phosphate and bone scan results support this diagnosis. Hyperparathyroidism can cause hypercalcemia and bone resorption, but it is less likely in this case given the normal calcium and phosphate levels. Metastatic small cell carcinoma of lung, prostate and myeloma can also cause the imaging changes, but these are less likely given the patient's history, and laboratory findings.
4 / 50
A 29-year-old woman attends her GP with a heavy sensation in her vagina when exercising. She is aware of a bulge in her vagina, sometimes associated with a desire to void urine. She had a vaginal delivery 2 years ago. There is some laxity of the anterior vaginal wall, but this does not descend to the introitus on straining. Urine culture is negative.
Which is the most appropriate management plan?
The most appropriate management plan for this patient with symptoms of pelvic organ prolapse is pelvic floor exercises from physiotherapists. The GP has examined the patient and she has a first-degree anterior prolapse. The physios will also make a further assessment including a thorough examination of the pelvic floor, to establish the extent of the prolapse and any associated symptoms. This will inform the choice of treatment, which will nearly always include conservative measures such as pelvic floor exercises. Referral to urogynaecology clinic is usually needed if there is a severe prolapse e.g. 3rd degree or severe urinary bowel incontinence or failed PFEs when management may include more invasive options such as surgical repair. Oxybutinin hydrochloride is used in the management of urgency urinary incontinence, which is not the main symptom in this patient. Pelvic floor exercises can be recommended as part of the management of pelvic organ prolapse, but in the absence of a full assessment and diagnosis,their effectiveness may be limited. Urodynamic testing and ultrasound scan of the pelvis may be considered as part of the overall management plan, but only if referral to a specialist clinic is needed.
5 / 50
A 20-year-old woman seeks contraceptive advice. She had unprotected sexual intercourse four days ago.
Which is the most appropriate method of contraception?
The most appropriate method of contraception after unprotected sexual intercourse is emergency contraception. The options for emergency contraception include the copper-containing intrauterine device (IUD) and emergency contraceptive pills. The copper-containing IUD is highly effective up to 5 days post-UPSI (nearly 100% effective) and is, therefore, the most appropriate option at this stage. COCP and high-dose progestogens can also be used but are less effective. Depot and Mirena are not licenced for emergency contraception.
6 / 50
A 23-year-old woman has barricaded herself with her baby in the bathroom, shouting that it is unsafe to come out because the house is infected. She thinks that someone is trying to kill her and her baby. Her mood has not been low at any stage. She is four days post caesarean section, and her physical recovery has been uncomplicated. She was not on any medication during her pregnancy but drank 20 units of alcohol a week. She is orientated in time and place.
Puerperal psychosis is the most likely diagnosis in this case. Puerperal psychosis is a rare but serious mental illness that affects women in the days or weeks following childbirth. It typically presents with symptoms such as delusions, hallucinations, confusion, agitation, and a lack of insight into the illness. Risk factors include a personal or family history of mental illness, a difficult or traumatic childbirth, and a lack of social support. Treatment often involves hospitalisation, medication, and support from mental health professionals. It is important to seek help quickly to provide the best possible outcome for both the mother and baby.
7 / 50
A 45-year-old man has a 5-month history of chronic sinusitis and unresolving headaches. When he bends forward, purulent fluid pours from his nose.
Which anatomical structure is most likely to be the source of this fluid?
The patient's symptoms suggest chronic maxillary sinusitis; when the patient bends forward, gravity causes the accumulated pus or mucus to drain out through the osteomeatal complex into the nasal cavity. The anterior ethmoids and the frontal sinus also drain through the OM complex, but the maxilla is the most commonly involved.
8 / 50
A 40-year-old primigravid woman, at 28 weeks' gestation, is admitted with a seizure. She had epigastric pain and blurred vision preceding the seizure. Her BP is 155/105 mmHg. Reflexes are brisk with two beats of ankle clonus. Her urinalysis shows protein 2+.
Which intravenous drug is the most appropriate immediate treatment?
The most appropriate immediate treatment for this patient is magnesium sulfate. She is presenting with features of severe pre-eclampsia and eclampsia, which require urgent management to prevent maternal and fetal complications. Magnesium sulfate is the first-line treatment for preventing seizures in women with severe pre-eclampsia and eclampsia. Diazepam and phenytoin are not recommended for the prevention of seizures in pre-eclampsia/eclampsia. Hydralazine is a second-line agent for the control of hypertension, and levetiracetam is an antiepileptic drug that is not routinely used in the management of pre-eclampsia/eclampsia.
9 / 50
A 28-year-old woman is admitted with a sudden onset of abdominal pain and vaginal bleeding. She is 38 weeks pregnant. Her pulse rate is 120 bpm, and her BP is 110/80 mmHg. She has a tender abdomen. The fetal heart rate is 170 bpm.
The most likely diagnosis is placental abruption. Placental abruption occurs when the placenta separates prematurely from the uterine wall before delivery, leading to maternal and fetal complications, including abdominal pain, vaginal bleeding, and fetal distress. The sudden onset of abdominal pain and vaginal bleeding, along with the tender abdomen and tachycardia, are suggestive of this diagnosis. The high fetal heart rate may indicate fetal distress. Prompt evaluation and management are necessary to optimise the chances of a successful outcome for both the mother and the baby.
10 / 50
A 43-year-old man is involved in a low-speed road traffic collision. Following this, he develops pain in his lower back that it is still troublesome several months later. The pain is worse after activity and is relieved by rest. He has an exaggerated lumbar lordosis with a palpable depression above L5. The range of movement of his spine is grossly normal. Neurological examination of his lower limbs is also normal.
What is the diagnosis?
Spondylolisthesis is when one vertebra slips out of line with the one above it, most commonly in the lumbar spine. The exaggerated lumbar lordosis and the palpable depression above L5 can be clinical findings of spondylolisthesis. Symptoms include lower back pain that worsens with activity and improves with rest. Neurological examination is typically normal.
11 / 50
A 19-year-old man has 1 day of fever, muscle stiffness, palpitations and difficulty breathing. He has a psychotic depression. He has been taking fluoxetine for 6 weeks and started taking risperidone 1 week ago.
He is agitated and distressed. His temperature is 39.8°C, pulse rate 114 bpm, BP 172/89 mmHg and respiratory rate 30 breaths per minute. Chest examination is otherwise normal. There is increased tone globally; there are no other neurological abnormalities.
Which test is most likely to help confirm the diagnosis?
The symptoms described in the scenario suggest the possibility of neuroleptic malignant syndrome (NMS), a rare but potentially life-threatening side effect of antipsychotic medication. The most appropriate test to help confirm the diagnosis in this case would be Serum creatine kinase (CK), a muscle enzyme that can be elevated in NMS. Imaging tests such as CT scan of head or lumbar puncture are unlikely to provide useful information in this case, as the patient’s symptoms and physical examination findings suggest a systemic rather than neurological problem. ECG and EEG may be useful in ruling out other possible causes of the patient’s symptoms, such as cardiac or seizure disorders, but are unlikely to be diagnostic for NMS.
12 / 50
A mother gives her 6-month-old girl formula milk for the first time. Within minutes, the baby vomits and develops an erythematous rash over her lips and chin, which takes 1 hour to subside. The following week, the mother drips a couple of drops of formula milk onto the baby's arm. The baby develops an erythematous rash over the arm within 1 minute.
The mother is returning to work and does not wish to continue breastfeeding or expressing milk.
Which is the best management option?
The best management option is the hydrolysed formula. These symptoms suggest a potential allergic reaction to cow's milk protein, prompting the need for an alternative formula that is less allergenic. Hydrolysed formula contains proteins broken down into smaller fragments, making them less likely to trigger an allergic response than intact cow's milk protein. Goat's milk is not recommended for infants as it has similar protein structures to cow's milk and can cause similar allergic reactions. The lactose-free formula is unnecessary unless the infant has a diagnosed lactose intolerance, which is rare in infants. A latex-free teat may be needed if the infant has a latex allergy, but this is not relevant in this case. Soya milk is not recommended for infants under 6 months of age, as it can interfere with the absorption of important nutrients and may also cause an allergic reaction.
13 / 50
A 28-year-old woman is elated in mood. She has not slept for 7 days and has been attending all-night parties. She is sexually disinhibited and believes that she is a member of the royal family. She was previously fit and well and has no past psychiatric history. A urine drug screen is negative.
Which is the most appropriate medication to prescribe?
In this context, olanzapine would be appropriate as it would act as both antipsychotic and sedative medication. Diazepam and zuclopenthixol decanoate are not the treatments of choice for mania. Lithium carbonate is a standard treatment for bipolar disorder, but it may take several days to become effective and is not appropriate for the acute management of severe mania. Sodium valproate is not prescribed to women of childbearing age. Valproate is highly teratogenic and evidence supports that use in pregnancy leads to neurodevelopmental disorders (approx. 30–40% risk) and congenital malformations (approx. 10% risk). Valproate must not be used in women and girls of childbearing potential unless the conditions of the Pregnancy Prevention Programme are met and only if other treatments are ineffective or not tolerated, as judged by an experienced specialist.
14 / 50
A 40-year-old woman has had right-sided facial weakness for the past 12 hours. She has weakness in all of the muscles on the right side of her face. There is no limb weakness, and speech is normal. Examination of her ears is normal.
Which is the most appropriate drug treatment?
The patient has symptoms of facial palsy, which is likely due to Bell's palsy, a type of idiopathic facial nerve palsy. The most appropriate initial treatment in this case (within 72 hours of the onset of symptoms) is a short course of prednisolone to reduce inflammation and improve outcomes. Aciclovir may be considered if herpes simplex virus infection is suspected. Still, it is not the first-line treatment for Bell's palsy and should be used in combination with a corticosteroid. Aspirin and cinnarizine are not indicated in this case.
15 / 50
A 66-year-old man has lethargy, cough and persistent pain in the right upper quadrant of the abdomen. He has smoked between 15 and 40 cigarettes daily for 50 years. He has an enlarged liver. Needle biopsy of the liver reveals adenocarcinoma, and immunohistochemistry is positive for the marker thyroid transcription factor-1, indicative of a primary pulmonary tumour.
Which is the most likely route by which this tumour spread to the liver?
The presence of a thyroid transcription factor-1 marker in the liver biopsy suggests that the adenocarcinoma originated from the lung, rather than the liver. Adenocarcinomas of the lung often metastasis to the liver through the bloodstream, making haematogenous spread the most likely route. Direct infiltration would be less likely due to the distance between the lung and liver, while lymphatic, Pagetoid, and transcoelomic spread are less common routes of metastasis for lung cancer to the liver.
16 / 50
A 62-year-old woman is seen at home because her legs feel "wobbly." She has been incontinent of urine once. She has been experiencing increasing pain in her mid back over the previous fortnight. She is being treated for metastatic breast cancer with anastrozole.
There is slight weakness, rated 4/5, in hip flexion and knee extension bilaterally. Plantar reflexes are equivocal, and tendon jerks are brisk. She is tender over the 10th thoracic vertebra.
Which is the most appropriate next course of action?
The patient's symptoms and examination findings are suggestive of spinal cord compression, which is a medical emergency. Urgent imaging with an MRI of the spine is necessary to confirm the diagnosis and identify the underlying cause of the cord compression, which can include metastatic cancer, disc herniation, or spinal stenosis. Typical treatment options include surgical decompression or palliative radiation therapy. The patient may require admission to the hospital for further management.
17 / 50
A 42-year-old woman has 6 months of a painful right shoulder. Her pain keeps her awake at night and is worsened by movement. She is otherwise well. There is no history of trauma. She has pain on shoulder abduction between 80° and 120°. Her shoulder movements are otherwise normal. There is no joint effusion. X-ray of the right shoulder is normal.
The most likely diagnosis is subacromial bursitis. The symptoms of pain worsened by movement and difficulty sleeping, along with a normal X-ray and pain on shoulder abduction between 80° and 120° are consistent with subacromial bursitis. The patient is describing a painful arc.
18 / 50
A 29-year-old woman has pain and morning stiffness in her finger and wrist joints. This improves during the day and after active movement. She has had recurrent mouth ulcers for the last 2 years. She had an episode of pleuritic chest pain 6 months ago which resolved without seeking help. Her BP is 128/85 mmHg. She has no warmth or tenderness in her hands. Urinalysis: protein 1+, blood 1+ Investigations: Haemoglobin 109 g/L (115–150) White cell count 3.8 × 109/L (4.0–11.0) Lymphocytes 0.9 × 109/L (1.1–3.3) Platelets 160 × 109/L (150–400) Creatinine 90 μmol/L (60–120) CRP 21 mg/L (< 5)
Based on the symptoms and investigations provided, the most likely diagnosis is systemic lupus erythematosus (SLE). The patient has joint pain and morning stiffness, which are common symptoms of SLE. She also has a history of mouth ulcers and pleuritic chest pain, which are other features that may be seen in SLE. The urinalysis shows proteinuria and haematuria, which can be associated with lupus nephritis. The low haemoglobin level and lymphopenia may also be seen in SLE. The elevated CRP suggests an underlying inflammatory process. Patients with Behcet’s syndrome experience ulceration and joint pain but renal involvement and haematological changes are less likely. Patients with Rheumatoid arthritis and reactive arthritis would have inflamed joints. Patients with Sjogrens syndrome usually have normal CRP.
19 / 50
A doctor is approached by their neighbour, who knows that another person on their street has been admitted to the ward where the doctor works. They wish to know how the patient is doing. The doctor knows the patient is stable, but the prognosis is uncertain.
Which is the most appropriate response by the doctor?
Doctors must maintain patient confidentiality and not disclose any patient information to individuals not involved in the patient's care. The doctor should not even disclose that they are treating the patient, as this is a breach of confidentiality.
20 / 50
A 60-year-old man feels tired but has no specific symptoms. He is a nonsmoker and drinks eight units of alcohol per week. Investigations: Haemoglobin 120 g/L (130–175) White cell count 5.8 × 109/L (3.0–10.0) Platelets 170 × 109/L (150–400) MCV 110 fL (80–96) TSH 2.0 mU/L (0.3–4.2)
Which additional investigation is most likely to help with the diagnosis?
The patient has a macrocytic anaemia (MCV increased, Hb reduced). Folate and vitamin B12 deficiencies are common causes of macrocytic anaemia and therefore testing for these would be initial investigations.
Ferritin is incorrect because iron deficiency causes a microcytic anaemia. Alcohol misuse can cause a macrocytosis, but 8 units of alcohol a week is not enough to cause this. Hypothyroidism can also cause a macrocytosis but this man’s thyroid function test is normal.
Haemolysis can cause a macrocytic anaemia (due to increase in the number of reticulocytes which are larger than mature red cells) and haptoglobin is a test used as part of a haemolysis screen but on its own is not helpful and would not be an initial investigation.
Protein electrophoresis is used to investigate possible myeloma which can cause a normocytic or macrocytic anaemia but is less likely than B12 or folate deficiency.
ESR is a non-specific investigation that can be increased for many reasons (infection, inflammation, malignancy, myeloma) and would not be ahelpful investigation (many labs no longer do this test).
21 / 50
A 5-year-old girl is brought to her GP with a rash over her arms that has been gradually worsening over the past month. Her mother reports that she seems more tired than usual. She has a petechial rash over both forearms, with some petechiae over her left anterior chest. She is pale and has hepatosplenomegaly.
Which is the most appropriate management option?
The most appropriate management option is to refer her urgently to the pediatric assessment unit. The presence of a petechial rash, hepatosplenomegaly, and tiredness in a child should raise suspicion of a serious underlying condition, such as leukaemia or other haematological disorders. Urgent referral to the paediatric assessment unit is necessary to ensure prompt diagnosis and treatment. Intramuscular benzylpenicillin sodium is inappropriate in this case, as it is unlikely to address the underlying condition. Prednisolone is also not appropriate, as it is not indicated for the management of petechial rash and hepatosplenomegaly. Referral to a general paediatric clinic is not urgent enough, given the severity of the symptoms, and a full blood count and blood film should be taken urgently, but this should be done in the context of urgent referral to the paediatric assessment unit.
22 / 50
A 15-year-old girl has delayed puberty. She has always been short for her age (height <0.4th centile for age). She has not started her periods yet. She has no dysmorphic facial features but does have a webbed neck and widely spaced nipples. She has no breast development.
Which chromosomal abnormality is most likely to cause her clinical presentation?
The most likely chromosomal abnormality to cause the clinical presentation of delayed puberty, short stature, webbed neck, widely spaced nipples, and lack of breast development is Turner syndrome, which is caused by complete or partial monosomy of the X chromosome, also known as 45X0.
23 / 50
A 36-year-old man is brought to the Emergency Department with a head injury after a fall from 10 metres. He was unconscious for a minute but recovered and seemed fully alert and orientated. Four hours later he becomes drowsy and confused, and then collapses.
His GCS is 7/15.
A fall from a height with loss of consciousness and subsequent deterioration in consciousness level suggests an extradural haematoma. The initial lucid interval followed by a rapid deterioration is a classic feature. A cerebral contusion would be less likely to cause a lucid interval, and a subarachnoid haemorrhage or diffuse axonal injury may not be associated with a lucid interval. A compound depressed skull fracture is often visible on examination and may be associated with a break in the skin, and the patient would have required immediate surgical intervention.
24 / 50
A 75-year-old man with metastatic bowel cancer is dying. He is semiconscious. His breathing is becoming increasingly rattly. He is being treated with morphine and haloperidol via a syringe driver.
Which is the most appropriate drug management?
The most appropriate drug management for a dying patient with increased respiratory secretions and rattly breathing is Hyoscine, which is a commonly used antimuscarinic medication for the management of respiratory secretions in end-of-life care. It reduces secretions by blocking muscarinic receptors, thus drying the mouth and airways. Therefore, the answer is Hyoscine.
Amoxicillin is an antibiotic that would not be indicated in this situation.
Furosemide is a loop diuretic and would not be helpful for respiratory secretions.
Levomepromazine is an antipsychotic medication that may have sedative effects and is sometimes used in palliative care for symptom management. Still, it is not the first-line medication for managing respiratory secretions.
Midazolam is a benzodiazepine that may be used for sedation and anxiety relief, but it is not used for managing respiratory secretions.
25 / 50
A 15-year-old boy has had severe anorexia nervosa for one year. He is not currently acutely physically unwell. His weight is 75% of the expected weight for his height, age and sex.
Which is the most appropriate therapy?
Family therapy is the first-line treatment for children and adolescents with anorexia nervosa, as it focuses on the family as a whole rather than just the individual with the disorder. It aims to improve family communication and functioning and to help family members understand and support the individual's recovery. Other types of therapy, such as cognitive-behaviour therapy or psychodynamic psychotherapy, may be used in conjunction with family therapy to address specific symptoms or issues.
26 / 50
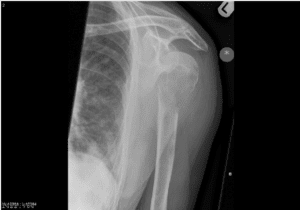
A 94-year-old woman has a deep gnawing pain in her left arm. She has had a 10 kg weight loss in the past year. Her temperature is 37.3°C. She has localised tenderness over the left upper arm. Investigations: X-ray left arm (see image).
Which is the most likely cause of her pain?
The most likely cause of the 94-year-old woman’s pain in her left arm is metastatic carcinoma. She has lost weight, and the site of the abnormality, i.e., proximal humerus, is a common site for metastasis. The X-ray is consistent with metastatic carcinoma.
27 / 50
A 14-year-old girl has had crampy abdominal pain and poor appetite for 24 hours. She has also had a sore throat for 3 days. Her temperature is 38.5°C. There is cervical lymphadenopathy and tenderness in the right iliac fossa.
Based on the given information, the most likely diagnosis is Mesenteric adenitis. The patient’s symptoms, including crampy abdominal pain, poor appetite, sore throat, fever, cervical lymphadenopathy, and tenderness in the right iliac fossa, suggest mesenteric adenitis, which is an inflammation of the lymph nodes in the mesentery that can be caused by viral or bacterial infections, such as streptococcal pharyngitis. Acute appendicitis can also cause right lower quadrant pain and tenderness, but it typically presents with more severe pain, rebound tenderness, and migration of pain from the periumbilical region to the right iliac fossa. Crohn’s ileitis and Meckel’s diverticulum are less likely given the patient’s age and symptoms, and ovarian cyst typically presents with unilateral pelvic pain or mass. The patient should be evaluated by her healthcare provider and may require further testing, such as blood tests and imaging, to confirm the diagnosis and rule out other conditions.
28 / 50
A 85 year old woman has a breast lump. She has hypertension, heart failure and a previous stroke. She takes bisoprolol, ramipril, furosemide, aspirin and atorvastatin. Her pulse is 76 bpm irregularly irregular and BP 105/70 mmHg. Her jugular venous pressure is visible 6 cm above the sternal angle. She has bibasal late inspiratory crepitations and bilateral pedal oedema. There is a 2.5 cm diameter, mobile, firm, non tender swelling in the upper outer quadrant of the her breast. There is no palpable lymphadenopathy. An ultrasound guided core biopsy was taken from the mass. Investigation: Pathology report of breast biopsy: infiltrating ductal carcinoma, ER-positive , HER2 negative She is started on an aromatase inhibitor and bisphosphonate.
Which is the most appropriate next treatment to offer?
Given the patient’s age and comorbidities, surgery may not be a suitable option. The pathology report indicates that the breast cancer is ER-positive, which suggests that the tumor may be responsive to hormone therapy. Therefore, the most appropriate next treatment to offer would be hormone therapy with an aromatase inhibitor, which has been already started, and a bisphosphonate, which is used to prevent bone loss associated with hormone therapy. Chemotherapy and immunotherapy may not be appropriate for this patient given her age and comorbidities. Radiotherapy may be considered in certain cases, but it is not the most appropriate next treatment to offer in this scenario. Therefore, the answer is no additional treatment.
29 / 50
A 45-year-old man attends his GP with right knee pain. He has had no previous problems with his knee before. He has had previous episodes of severe pain in his toe and painful swelling of the dorsum of the feet. There is no history of trauma. He drinks 20 pints of beer a week.
His temperature is 37.5°C, and his knee is warm, diffusely tender and very painful to flex.
What is the most likely diagnosis?
Based on the presentation, the most likely diagnosis is gout. The presence of a warm, diffusely tender and very painful knee, along with a previous history of acute inflammation in the feet and alcohol excess would be consistent with a diagnosis of gout.
30 / 50
A 75-year-old man attends his GP with fatigue, blurred vision, and poor concentration for 4 months. He has had type 2 diabetes for 30 years and takes metformin (1 g twice daily). He lives alone and reports having a well-balanced diet. Investigations:
Haemoglobin 98 g/L (130–175) Mean cell volume (MCV) 115 fL (80–96) Serum vitamin B12 90 ng/L (160–925)
Which is the most appropriate initial treatment for this patient?
This patient has vitamin B12 deficiency, likely exacerbated by long-term metformin use, which can interfere with B12 absorption. Initial treatment for vitamin B12 deficiency, especially in the presence of neurological symptoms such as blurred vision and poor concentration, is intramuscular hydroxocobalamin. The recommended regimen for patients with neurological involvement is 1 mg of hydroxocobalamin intramuscularly on alternate days until there is no further improvement, followed by a maintenance dose every 2 months. This allows rapid replenishment of B12 stores to address the neurological symptoms effectively.
31 / 50
A 25-year-old man has had penile pain for two days. His most recent sexual intercourse was one week ago. There are multiple tender ulcers on his preputial skin. His penile and scrotal skin does not have any other abnormality.
Based on the given information, the most likely diagnosis is Herpes simplex. The presence of multiple tender ulcers on the preputial skin following recent sexual intercourse is suggestive of herpes simplex virus infection. Genital warts usually present as painless, raised, and cauliflower-like growths on the genital skin. Ulcers in syphilis are typically painless, whilst gonorrhoea presents with discharge. In lymphogranuloma venerum discharge and lymphadenopathy is often present.
32 / 50
A 30-year-old man goes out gambling. One night he makes a profit of £100,000, and the following night he loses £150,000.
Which psychological process most likely occurred on the first night that led to his risk-taking on the following night?
This is because winning on the first night positively reinforced his gambling behaviour - hence his repetition on the following night.
33 / 50
A 6-hour-old boy, born at term, is grunting and cyanosed. He has been struggling to feed. His temperature is 36.8°C, pulse rate 190 bpm (120-160), respiratory rate 60 breaths per minute (30-60) and oxygen saturation 82% breathing air. His oxygen saturation does not improve significantly breathing high-flow oxygen. He has a loud single second heart sound and a systolic murmur. He is treated with intravenous fluids and antibiotics.
Which is the most appropriate next medication?
The most appropriate next medication is Alprostadil. These clinical findings are consistent with congenital heart disease. The loud single-second heart sound and systolic murmur suggest a possible ventricular septal defect (VSD) or patent ductus arteriosus (PDA). The grunting and cyanosis, along with the low oxygen saturation that does not improve with high flow oxygen, suggest that the baby is experiencing significant respiratory distress. Alprostadil, a prostaglandin E1 analog, helps maintain ductal patency and allows adequate systemic perfusion until definitive management, such as surgical correction or catheter-based intervention, can be undertaken. Ibuprofen and indometacin are both nonsteroidal anti-inflammatory drugs that are used to treat patent ductus arteriosus, but they are not appropriate in this case as they would cause closure of the ductus arteriosus, exacerbating the baby's symptoms. Sildenafil is a medication used to treat pulmonary hypertension, which can occur in neonates with congenital heart defects, but it is not the most appropriate initial medication in this case. Surfactant is a medication used to treat respiratory distress syndrome, which is not the primary diagnosis in this case.
34 / 50
A randomised controlled trial was designed to compare a new drug with a placebo. There were 120 patients in the treatment group, of which 12 patients died within 2 years. There were 240 patients in the control group, of which 48 patients died within 2 years.
Which is the number needed to treat to avoid one death within 2 years?
The absolute risk reduction (ARR) can be calculated as the difference in the risk of death between the treatment and control groups: ARR = risk in the control group - risk in the treatment group ARR = 48/240 - 12/120 ARR = 0.2 - 0.1 ARR = 0.1 The number needed to treat (NNT) can be calculated as the reciprocal of the ARR: NNT = 1 / ARR NNT = 1 / 0.1 NNT = 10 Therefore, the NNT to avoid one death within 2 years is 10.
35 / 50
A 19-year-old man attends his GP after two days of a burning sensation when passing urine, urethral discomfort, and a penile discharge. This developed a week after he had unprotected sex with a new female partner. He declines a referral to the genito-urinary medicine (GUM) clinic.
Which is the most appropriate treatment?
The man has suspected urethritis. There are no specific features to suggest gonorrhoea and the most likely organism is chlamydia. The most appropriate treatment for this patient would be Doxycycline. Azithromycin alone would be an alternative. A first-void sample for nucleic acid amplification testing (NAAT) should be sent. The patient should also be advised to inform his sexual partner to get tested and treated as well.
36 / 50
A 68-year-old woman has noticed a lump in her neck for 2 months. She otherwise feels well. There are small lymph nodes palpable in the cervical, axillary and inguinal regions. Investigations: Haemoglobin 124 g/L (115–150) White cell count 27.2 × 109/L (3.8–10.0) Neutrophils 2.5 × 109/L (2.0–7.5) Lymphocytes 21.6 × 109/L (1.1–3.3) Monocytes 0.9 × 109/L (0.2–1.0) Eosinophils 0.4 × 109/L (0–0.4) Basophils 0.1 × 109/L (0–0.1) Platelets 137 × 109/L (150–400) Blood film: increased lymphocytes with sparse cytoplasm
The most likely diagnosis is Chronic Lymphocytic Leukaemia as it is the commonest lymphoproliferative neoplasm causing a lymphocytosis in this age of patient (lifetime risk approx. 1 in 200) and the patient is otherwise well (approx. 75% of CLL diagnosis are in >65 year olds and the average age of presentation is 70 years). The lymphocytosis with normal Hb, neutrophil count and near normal platelet count and the film appearances (small mature lymphocytes and smear cells are common) are also consistent. Low grade Non Hodgkin's lymphoma is the main differential diagnosis of painless persistent lymphadenopathy in this age group and is also common but is less likely to present with significant lymphocytosis (lymphadenopathy is more of a feature). The Epstein-Barr virus causes infectious mononucleosis and can also present with lymphadenopathy with lymphocytosis although these are reactive lymphocytes with plenty of cytoplasm. EBV also typically presents with fever and sore throat, and it is a self-limited condition and resolves within weeks. Acute lymphoblastic leukaemia is a malignancy of lymphoid progenitor cells that primarily affects children and young adults and is typically associated with a short history of bone pain, fever and pancytopenia. Myeloma is a malignancy of plasma cells within the bone marrow, which can present with bone pain, hypercalcemia, anaemia, and renal dysfunction. Myeloma does not cause lymphadenopathy or lymphocytosis.
37 / 50
A 9-month-old boy is brought to his GP with 4 days of coryzal symptoms, intermittent fever, coughing, and wheezing. He has been taking smaller feeds for the past 2 days and was unsettled last night. He has adequate oral intake. His mother has given him paracetamol suspension. He is alert, there is no rash, and he is drooling. His temperature is 38.2°C, capillary return 1 second, pulse rate 148 bpm (80-160), respiratory rate 60 breaths per minute (30-60), and oxygen saturation 97% in air. He has widespread wheezing and crackles; his ears and throat are normal.
Which is the most appropriate next step in management?
The presentation of this baby is consistent with bronchiolitis. The most appropriate next step in management would be to reassure and give safety netting advice. Admission to paediatric ward may be considered in severe cases or if the baby is unable to take oral fluids, but is not necessary in this case. Prescribing oral doxycycline is not appropriate as doxycycline is contraindicated in children under 12 years of age due to the risk of tooth discolouration.
Prescribing oral co-amoxiclav is not appropriate as antibiotics are not routinely recommended in the management of bronchiolitis, which is usually caused by a viral infection.
Reassurance and safety netting advice is important in all cases. This baby has a low grade fever but the other observations are all within normal range so there is no indication for any other intervention at present.
Giving nebulised salbutamol and review would be indicated if observations were outside the normal range or if the baby was significantly distressed, not feeding etc.
38 / 50
A 35-year-old woman with gestational hypertension is induced at 40 weeks. She has a normal vaginal delivery but following delivery of the placenta, she bleeds heavily.
Which is the most appropriate initial management?
The most appropriate management for postpartum haemorrhage following delivery of the placenta in a woman with gestational hypertension is oxytocin, as it can help to contract the uterus and reduce bleeding. Carboprost and misoprostol may also be used if oxytocin is ineffective, but they can cause adverse effects and should be used with caution. Ergometrine can exacerbate hypertension and is essentially contraindicated in hypertension. Tranexamic acid may also be used as an adjunct therapy to help control bleeding, but it should not be used as the sole treatment. However, the specific management will depend on the severity of the bleeding and other clinical factors, and close patient monitoring is essential.
39 / 50
A 63-year-old woman has two days of facial swelling, early morning facial discomfort and fullness. Nine months ago she was treated with chemotherapy and radiotherapy for lung cancer. Her jugular venous pressure is elevated and non pulsatile. Her face, neck and arms are swollen, and there are prominent veins across her chest.
Which structure is most likely to be occluded?
The superior vena cava is the most likely structure to be occluded. The patient’s symptoms of facial swelling, fullness, and prominent chest veins are consistent with superior vena cava syndrome, which can occur when the SVC is compressed or obstructed. The previous history of lung cancer and recent chemotherapy and radiotherapy suggests the possibility of SVC obstruction due to malignancy.
40 / 50
A 3-year-old boy has had multiple skin lesions on his chest wall for 2 weeks (see image). The lesions are not itchy, and he is otherwise well. He is apyrexial.
Based on the given information, molluscum contagiosum is the most likely diagnosis. The lesions are typically painless, firm, dome-shaped, and have a central indentation. They are caused by a poxvirus and are usually self-limiting, resolving within 6 to 12 months.
41 / 50
A 25-year-old nulliparous woman with an uncomplicated pregnancy attends for induction of labour at 41 weeks. Examination reveals the head is engaged; the cervix is posterior, 2cm long and the os is closed.
Which is the most appropriate method of induction?
Endovaginal prostaglandin gel is the most appropriate method of induction in this scenario. The woman is at term and the head is engaged, indicating that the fetal head is in the pelvis. Cervical assessment reveals that the cervix is unfavourable for induction, with a posterior position, a length of 2 cm, and a closed os. Endovaginal prostaglandin gel is a method of cervical ripening, and reserved for cases in which the cervix is unfavourable, and there is a need to ripen the cervix before induction. Membrane sweeps encourage normal labour but are not a recognised induction method on their own. Oxytocin infusion and amniotomy is unlikely to be an an effective method of induction in this situation. The cervix is closed, making ARM difficult, if not impossible, without cervical ripening – oxytocin cannot be used without an amniotomy. Progesterone suppositories are used to prevent preterm labour, and they are not indicated for induction of labour at term.
42 / 50
A 45-year-old man has his BMI measured as part of a clinical trial for type 2 diabetes.
Which is the most appropriate classification of data on this parameter?
BMI is a continuous variable as it can take any value within a range of values (e.g., 18.5 to 50). Categorical variables can be grouped into categories (e.g., blood type, race). Discrete variables can only take certain values, usually integers (e.g., number of children). Nominal variables have no intrinsic order or ranking (e.g., hair colour, occupation). Subjective is a term for phenomena, not variables.
43 / 50
A 37-year-old woman who is 10 weeks pregnant has had excessive vomiting for 1 week. The fundal height is consistent with 16 weeks' gestation. Her temperature is 37.2°C, pulse rate 100 bpm and BP 180/110 mmHg.
Which is the most likely diagnosis underlying the clinical presentation?
The most likely diagnosis is molar pregnancy. This is the classic presentation of molar pregnancy as the underlying diagnosis with large for gestation uterus and severe early onset pre-eclampsia as a secondary phenomenon. Molar pregnancy can present with exaggerated symptoms of pregnancy such as excessive vomiting and rapidly increasing uterine size due to the proliferation of abnormal trophoblastic tissue. Additionally, elevated blood pressure can occur as a result of gestational trophoblastic disease-induced hypertension. Missed abortion must be diagnosed with an ultrasound and Pregnancy Induced Hypertension occurs after 20/40. Gastroenteritis would have normal-low BP not raised.
44 / 50
An 18-year-old woman is 19 weeks pregnant. An ultrasound scan shows her baby has anencephaly. She wants to discuss her options about the termination of her pregnancy.
When will termination of this pregnancy be legally permitted?
The law is the UK is that the usual limit for termination of pregnancy is 24 weeks’ gestation. However, anacephaly is a fetal anomaly that inevitably results in the death of the fetus. This, or a risk of serious harm to the woman, means that termination is legal at any time.
45 / 50
A 17-year-old girl attends her GP with her mother. She has had severe headaches, stomach aches and has vomited four times over 2 days. She was invited to a close friend's birthday party but refused to attend. She is extremely shy and isolated, and has very few friends. She is always worried that others criticise her, is extremely sensitive to any rejection, and is very attached to her mother.
Which personality disorder is she most likely to have?
The features described are consistent with avoidant personality disorder, which is characterised by social inhibition, feelings of inadequacy and hypersensitivity to criticism, and a strong desire for affection and acceptance. People with this disorder tend to avoid social situations and have few close relationships, often relying heavily on a single attachment figure. They may also experience physical symptoms such as headaches and stomach aches when faced with stress or anxiety-provoking situations.
46 / 50
A 52-year-old woman has had two days of worsening confusion. She has chronic liver disease secondary to alcohol and has been abstinent for six months. She has had a previous admission due to acute hepatic encephalopathy.
She is disoriented in time and place and cannot hold a conversation. Her temperature is 37.1°C, pulse is 90 bpm, and BP is 119/80 mmHg. She has a distended abdomen, widespread spider naevi and a flapping tremor.
She is given intravenous vitamin supplements.
Which is the most appropriate additional management of her acute confusion?
The most appropriate additional management of her acute confusion would be Lactulose. The patient is exhibiting signs of hepatic encephalopathy due to her chronic liver disease, which can cause confusion, disorientation, and other neurological symptoms. Lactulose is a standard treatment for hepatic encephalopathy as it helps to reduce the amount of ammonia in the blood, which can contribute to neurological symptoms. Intravenous vitamin supplements may be helpful to address any nutritional deficiencies, but lactulose is the primary treatment for hepatic encephalopathy. Antibiotics such as ciprofloxacin may be used if there is evidence of infection, but there is no indication of infection in this scenario. Furosemide and protein restriction are not appropriate for hepatic encephalopathy. Lorazepam can be used to treat alcohol withdrawal; however, it may worsen hepatic encephalopathy and should be used with caution in patients with liver disease.
47 / 50
A 60-year-old man believes that the government has been monitoring him for 10 years despite him repeatedly writing to the Prime Minister. His beliefs are present, whatever his mood. He has never heard voices when nobody else is around.
The most likely diagnosis is delusional disorder. The delusions have not escalated or changed for a significant period and are considered to be "non-bizarre," i.e., situations that are not real but also not impossible. These beliefs began 10 years old so this is not a personality disorder as symptoms were not present since late adolescence. There are no other symptoms commonly seen in schizophrenia, such as hearing voices or experiencing disorganised speech and behaviour.
48 / 50
A 60-year-old man has increasing left hip pain. It is worse after exercise and occasionally wakes him up at night. He has stiffness in the mornings that lasts for about 10 minutes. He has hypertension treated with ramipril, but is otherwise in good health. He has reduced internal rotation on passive movement. This also elicits pain.
Which is the most appropriate initial treatment for his pain?
Oral non-steroidal anti-inflammatory drugs are recommended as initial pharmacotherapy for hip osteoarthritis. Paracetamol or weak opioids should not be routinely offered unless they are only used infrequently for short-term pain relief and all other pharmacological treatments are contraindicated, not tolerated or ineffective.
49 / 50
A 62-year-old man attends the outpatient clinic with his wife. He has had reduced energy, a lack of interest in his work, and poor sleep for six weeks. He has lost weight. He has benign prostatic enlargement.
There is evidence of self-neglect and reduced eye contact.
What is the single most appropriate drug treatment?
Based on the symptoms described, the most appropriate drug treatment would be a selective serotonin re-uptake inhibitor (SSRI), as this class of drugs is commonly used in the treatment of depression, which the patient may be experiencing. Benzodiazepines and Z-drugs are more appropriate for short-term management of insomnia or anxiety. At the same time, tricyclic antidepressants and serotonin noradrenaline re-uptake inhibitors (SNRIs) may have more side effects and risks in older patients with comorbidities. However, it is important to note that a full assessment and diagnosis by a healthcare professional is necessary before initiating any drug treatment.
50 / 50
The links between deprivation and health inequalities are well-evidenced and widely accepted, but there are several explanations for that association. One explanation proposes that ill health determines people's social class.
Which type of explanation of health inequality is this?
This is an example of Social selection/mobility. This explanation proposes that ill health can limit social mobility due to decreased ability to work, and decreased income, leading to lower social class, which in turn can contribute to health inequalities. Artefact would be proposing that the observed differences are due to differences in measurement (and so not actually present). Cultural/behavioural is proposing that differences in behaviour cause differences in health. Idealist would be suggesting that individuals’ construction of health is different in different groups, so they might define health differently, and Materialist, emphasises the role of economic and social factors, such as income, education, and employment, in shaping health outcomes.
Your score is
The average score is 31%
Restart quiz
How was the test? Please Submit your Rating and give us a feedback!
Thank you for taking the time to complete a mock test on our website. We appreciate your effort and dedication.
We wish you the best of luck in your preparation and future exams. If you have any feedback or suggestions, please let us know.
Your email address will not be published. Required fields are marked *
Δ